Добавить в корзинуПозвонить
Найти в Дзене
Башкортостан 24

В Башкирии искусственный интеллект впервые расшифровал рентгеновский снимок пациента

К концу 2024 года в Башкирии планируется расширить использование ИИ в медицине. В Уфе специалисты из городской больницы №21 отправили рентген органов грудной клетки пациента на специальную платформу «МосМедИИ». Через минуту они получили заключение от искусственного интеллекта. "ИИ провел интерпретацию полученного медицинского изображения, разметил зоны патологических очагов и выдал протокол исследования. Это большой прорыв в области цифровизации здравоохранения. ИИ поможет оперативнее читать КТ, МРТ, рентгенснимки, флюорографию, ангиографию – все то, что сохраняется в «картинке». Стоит отметить, что последнее слово все же будет оставаться за врачом. До конца года планируется расширить как количество медицинских организаций, так и количество ИИ-сервисов, используемых республикой на «МосМедИИ». Все работы проводятся в рамках национального проекта «Здравоохранение», — поделился и.о. министра здравоохранения РБ. По словам Айрата Рахматуллина, к концу года планируется расширить использовани

К концу 2024 года в Башкирии планируется расширить использование ИИ в медицине.

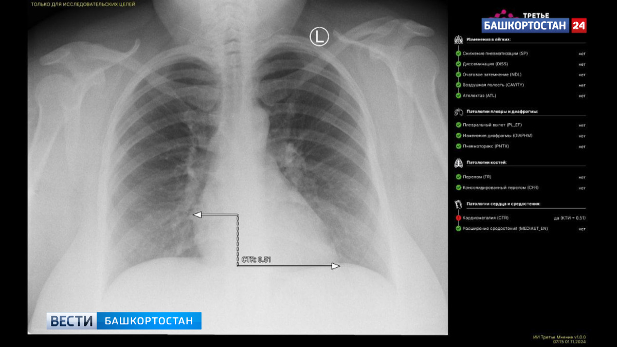
   В Башкирии искусственный интеллект впервые расшифровал рентгеновский снимок пациента
В Башкирии искусственный интеллект впервые расшифровал рентгеновский снимок пациента

В Уфе специалисты из городской больницы №21 отправили рентген органов грудной клетки пациента на специальную платформу «МосМедИИ». Через минуту они получили заключение от искусственного интеллекта.

"ИИ провел интерпретацию полученного медицинского изображения, разметил зоны патологических очагов и выдал протокол исследования. Это большой прорыв в области цифровизации здравоохранения. ИИ поможет оперативнее читать КТ, МРТ, рентгенснимки, флюорографию, ангиографию – все то, что сохраняется в «картинке». Стоит отметить, что последнее слово все же будет оставаться за врачом. До конца года планируется расширить как количество медицинских организаций, так и количество ИИ-сервисов, используемых республикой на «МосМедИИ». Все работы проводятся в рамках национального проекта «Здравоохранение», — поделился и.о. министра здравоохранения РБ.

По словам Айрата Рахматуллина, к концу года планируется расширить использование ИИ в медицине.

--------------------------

Присоединяйтесь к нашему каналу Башкортостан 24 в Дзене и поделитесь Вашим мнением о событиях, происходящих в Уфе и Башкирии!

Мы предлагаем Вам актуальные новостные сюжеты, а также свежие выпуски передач производимые холдингом ГТРК «Башкортостан».

--------------------------

▶️ Прямой эфир Башкортостан 24

-2