Добавить в корзинуПозвонить
Найти в Дзене

Инсульт может быть заразным? Странное наблюдение учёных из Швеции.

Перелили кровь, прошло время и случился инсульт! Если бы один такой случай. Но ученые из Швейцарии, из Каролинского института утверждают, что случай не единственный, а более того между этими событиями есть связь, и инсульт каким-то неимоверным способом в определенных случаях может передаваться через переливание крови. История может повториться? На протяжении десятилетий стресс брал на себя вину за болезненные язвы желудка. Но в 1982 году врачи сделали революционное открытие: настоящим виновником оказался определенный тип бактерий (Хеликобактер Пилори). Теперь ученые снова изучают ситуацию под микроскопом, но на этот раз они ищут доказательства того, что переливание крови может способствовать развитию инсультов, которые являются основной причиной смертности и долгосрочной инвалидности. Исследование В исследовании использовалась шведско-датская база данных переливания крови SCANDAT, которая содержит данные о донорах крови и рецепиентах, получавших переливание крови, начиная с 1970-х го
Оглавление

Перелили кровь, прошло время и случился инсульт! Если бы один такой случай. Но ученые из Швейцарии, из Каролинского института утверждают, что случай не единственный, а более того между этими событиями есть связь, и инсульт каким-то неимоверным способом в определенных случаях может передаваться через переливание крови.

История может повториться?

На протяжении десятилетий стресс брал на себя вину за болезненные язвы желудка. Но в 1982 году врачи сделали революционное открытие: настоящим виновником оказался определенный тип бактерий (Хеликобактер Пилори).

Теперь ученые снова изучают ситуацию под микроскопом, но на этот раз они ищут доказательства того, что переливание крови может способствовать развитию инсультов, которые являются основной причиной смертности и долгосрочной инвалидности.

Исследование

В исследовании использовалась шведско-датская база данных переливания крови SCANDAT, которая содержит данные о донорах крови и рецепиентах, получавших переливание крови, начиная с 1970-х годов.

Всего в исследование было включено более миллиона пациентов. Первичный анализ был проведен в Швеции, а затем повторен с датскими данными и дал практически идентичные результаты.

Повторяемость настораживает

Обнаружено, что те пациенты, которые получали кровь от доноров, которые впоследствии перенесли повторные инсульты, более чем в 2 раза с такой же вероятностью сами могут страдать от кровоизлияний в мозг.

Однако повышенного риска инсульта не наблюдалось у реципиентов крови от доноров, у которых после переливания был всего один случай инсульта.

Загадочный фактор

Т.е. передача наблюдалась, когда у донора был не один случай инсульта, а несколько, что уже наводит на мысль о каком-то внутреннем факторе пребывающем в его организме.

Согласно полученных результатов, можно предположить, что могут существовать факторы передающиеся через переливание крови, которые могут вызывать спонтанные кровоизлияния в мозг.

Однако, поскольку только 0,1% доноров, участвовавших в исследовании, впоследствии перенесли повторные кровоизлияния в мозг, следовательно, пострадало лишь несколько пациентов.

Что это может быть за фактор, передающийся через переливание крови?

Известно, что распространенной причиной спонтанных, повторяющихся кровоизлияний в мозг является сосудистое заболевание - церебральная амилоидная ангиопатия (ЦАА), которая является второй по значимости причиной спонтанного геморрагического инсульта и связана с отложением дефектных бета-амилоидных белков в стенках кровеносных сосудов головного мозга, что делает их хрупкими и подверженными разрывам, что приводит к инсультам и снижению когнитивных* функций.

*Когнитивные функции мозга - это способность понимать, познавать, изучать, воспринимать и перерабатывать (запоминать, передавать, использовать) внешнюю информацию.

Несколько исследований показали, что ЦАА может передаваться от одного человека к другому во время нейрохирургических вмешательств и, возможно, лечения с использованием определенного типа гормона роста.

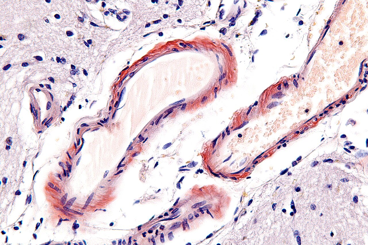
Микрофотография церебральной амилоидной ангиопатии в  очень большим увеличением. // Изображение: Wikimedia Commons.
Микрофотография церебральной амилоидной ангиопатии в очень большим увеличением. // Изображение: Wikimedia Commons.

По мнению учёных, наиболее важным следствием исследования является то, что оно дополнительно подтверждает гипотезу о том, что ЦАА может передаваться от человека к человеку.

Точку ставить рано

Теперь исследователи надеются подтвердить гипотезу о том, виновник связи кровоизлияния в мозг и переливания крови - ЦАА.

Для этого будут изучаться образцы из биобанка Датского исследования доноров крови, чтобы выяснить, смогут ли они идентифицировать аберрантные белки, связанные с заболеванием.

Также необходимо получить результаты компьютерной и магнитно-резонансной томографии пострадавших доноров и пациентов, чтобы посмотреть, смогут ли они также подтвердить эту гипотезу.

«Это исследование не демонстрирует причинно-следственной связи, поэтому наблюдаемое увеличение риска может быть связано с другими факторами», - сообщает первый автор исследования Цзинчэн Чжао из группы доктора Эдгрена в Каролинском институте. «Необходимы дополнительные исследования, чтобы подтвердить наши выводы и понять основной потенциальный механизм».

Результаты данного исследования подчеркивают значимость и серьёзность невыявленных и неизвестных нам факторов, которые могут передаваться через донорские биоматериалы, и как важно выявлять этих факторы, чтобы не подвергнуть дополнительному риску десятки миллионов людей.

Источник

1. Intracerebral hemorrhage among blood donors and their transfusion recipients, JAMA (2023). DOI: 10.1001/jama.2023.14445