Добавить в корзинуПозвонить
Найти в Дзене

Пластика мягкими тканями вокруг имплантов или как не дать импланту "уйти" через 5 лет. Продолжение.

В прошлой статье мы разобрали основы теории и сегодня мы еще немного поговорим про то, какие виды трансплантатов бывают, а потом перейдем к практике. Выделяют 5 групп трансплантатов, но мы будем говорить о 2х: Трансплантат в нашей теме - это участок десны взятый с бугра верхней челюсти или нёба. Бугор верхней челюсти - это часть челюсти которая находится за верхним зубом мудрости. Свободный десневой трансплантат Данный вид трансплантата используется как раз для тех целей, о которых мы говорили в первой части статьи. Он помогает нам заменить слизистую на десну. Сразу стоит сказать, что живое прирастает только к живому. Вот почему, если слизистая вокруг импланта уже опустилась, то нет смысла проводить пластику мягкими тканями и именно поэтому успех только в 3-5% случаев. Десна не сможет прирасти к неживому материалу (импланту), так как сосудам некуда будет врастать. Саму методику детально и шаги операции я рассказывать не буду, так как фото будут жуткими для многих читателей, а потом Д
Оглавление

В прошлой статье мы разобрали основы теории и сегодня мы еще немного поговорим про то, какие виды трансплантатов бывают, а потом перейдем к практике.

Выделяют 5 групп трансплантатов, но мы будем говорить о 2х:

  1. Свободный десневой трансплантат
  2. Субэпителиальный тканевой трансплантат
Трансплантат в нашей теме - это участок десны взятый с бугра верхней челюсти или нёба. Бугор верхней челюсти - это часть челюсти которая находится за верхним зубом мудрости.

Свободный десневой трансплантат

Данный вид трансплантата используется как раз для тех целей, о которых мы говорили в первой части статьи. Он помогает нам заменить слизистую на десну. Сразу стоит сказать, что живое прирастает только к живому. Вот почему, если слизистая вокруг импланта уже опустилась, то нет смысла проводить пластику мягкими тканями и именно поэтому успех только в 3-5% случаев. Десна не сможет прирасти к неживому материалу (импланту), так как сосудам некуда будет врастать.

Саму методику детально и шаги операции я рассказывать не буду, так как фото будут жуткими для многих читателей, а потом Дзен заблокирует статью. Но стоит рассказать вкратце, что происходит во время операции.

Задача хирурга удалить ненужную слизистую на проблемном участке, вырезать кусочек десны (обычно 5*10мм) с нёба либо бугра верхней челюсти и пришить в место где была слизистая. Через 2 недели швы снимаются и имплант протезируется либо коронка ставится повторно (если коронка стояла до операции, то она снимается и ставится формирователь десны). Донорский участок на нёбе или бугре заживает также через 2 недели, а еще через 2 в этой области можно брать трансплантат еще раз.

Фото можно листать пальцем либо мышкой!

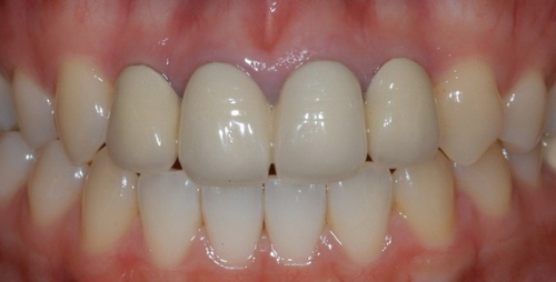
Таким образом я добился прикрепленной кератинизированной десны. Импланту на данный момент уже 5 лет и ни один виток импланта не оголился.

Субэпителиальный тканевой трансплантат

Но, что если у пациента есть десна, но ее толщина слишком маленькая. Это может привести к просвечиванию абатмента (вид синюшной десны) либо к нарушению эстетики (впалая десна).

Синюшная десна
Синюшная десна
Впалая десна
Впалая десна

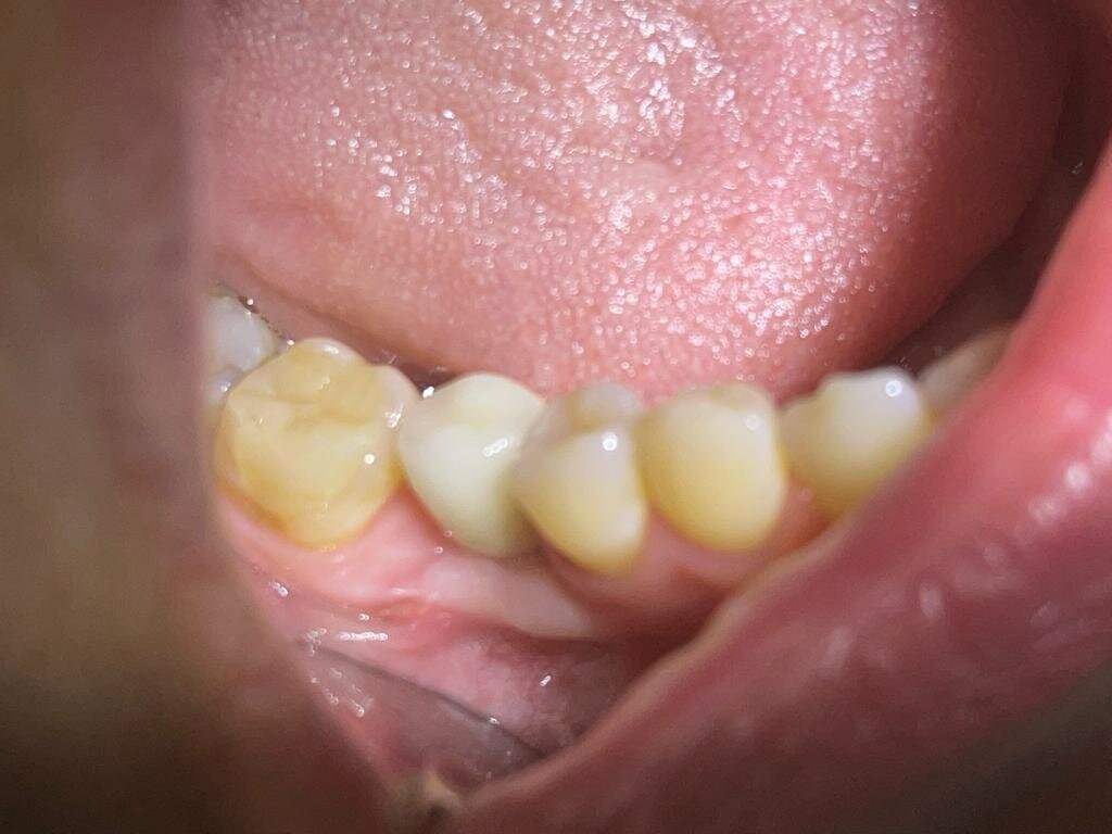
Здесь наша задача вырезать кусочек тканей из слоя множества других тканей нёба.

Мы как бы забираем его с середины. Справа вы видите состояние раны через 2 недели.
Мы как бы забираем его с середины. Справа вы видите состояние раны через 2 недели.

То есть мы забираем с середины толщи мягких тканей неба и пересаживаем также в толщу мягких тканей проблемного участка.

Представьте тортик. У него есть 2 коржа, а посередине крем. Мы приготовили тортик, но так как режим духовки был плохой, то коржи сильно уменьшились в размерах. А нам нужно, чтобы тортик был определенной высоты. Тогда мы решаемся, что нужно просто добавить крема. Мы разрезаем тортик пополам параллельно коржам и добавляем крем, а потом все это соединяем. Ура! У нас высокий тортик.

Или другой пример.

Представьте некий участок земли. За несколько лет в этом месте просел газон и смотрится не красиво. Что будем делать? Если подсыплем земли сверху, то трава может по-другому вырасти. А если мы приподнимем участок дерна, затем подсыплем под него земли и уложим дерн обратно, то таким образом добьемся выравнивания участка и не нарушим рост травы.

Вот тот же самый принцип и здесь. Мы подшиваем кусочек тканей в проблемный участок и добиваемся утолщения. Как выглядит после я не смогу вам показать, так как нет фото.

Какие осложнение могут возникнуть

Кровотечение. Одно из самых распространенных осложнений после пластики. Как правило, будет кровить рана на нёбе, так как нёбо очень хорошо кровоснабжается. Что делать? Рассказывал тут.

Я, например, не люблю брать трансплантаты с нёба, так как там проходит большая небная артерия. А вот в области бугров, намного безопаснее.

Боль. Как правило, болит место взятия материала. Это нёбо или бугор верхней челюсти. В этом случае нужно принимать обезболивающие препараты, такие как Нимесил или Найз, но желательно не более 2х таблеток (саше) в день и не более 3х дней.

Препарат продается без рецепта
Препарат продается без рецепта
ОбезбОливающее средство. От слова боль. Слова обезбАливающее в русском языке нет. Не говорите не правильно.

Отёк. Отёк, как правило, возникает в месте куда пересаживался трансплантат. Тут нужно принимать антигистаминные препараты и делать компрессы со льдом. Про лёд рассказывал тут.

Многие приходят и говорят, что у них была опухоль несколько дней. Не опухоль, а отек. Опухоль - это новообразование, онкология, рак. Опухоль никак не связана с осложнением после хирургического вмешательства у стоматолога.

Травматизация швами. При пластике мягкими тканями необходимо использовать мононить. Мононить - это нить шовного материала состоящая из одного волокна. Такие нити напоминают леску, а те кто держал леску в руках знает, что ее кончик острый. И вот этот кончик будет колоть щеку или язык, и в дальнейшем вызовет язву (стоматит). Если стоматит образовался, то читайте ниже лечение. А чтобы избежать травматизации, нужно просто оставить кончики швов длинными. Либо заклеить жидкотекучим материалом, если хирург сильно обрезал их.

Как лечить травму мягких тканей? Используйте мирамистин для обработки раны. Он удобен тем, что выпускается в виде спрея. После обработки подсушите рану стерильным бинтом и нанесите гель Асепта. Делайте так 2-3 раза в день и через 5 дней все заживет.

-7

Отторжение трансплантата. Самое печальное, что может произойти. Тут все зависит от того, на сколько плотно к кости хирург зафиксировал трансплантат, не сильно ли его пережал, какую толщину нити использовал и соблюдал ли стерильность. Видите сколько тонкостей? Именно поэтому у нас уходит около часа на пластику и цена, как правило, достигает 25 т.р. Но это намного дешевле, чем лишиться импланта через несколько лет и делать костную пластику с установкой нового импланта.

Заключение

Это та основа, которую, я считаю, должны знать пациенты. Я ничего не скрыл от вас и рассказал все как есть. Если статья была интересная, поставьте лайк, а еще лучше подпишитесь на канал.

И на последок. После процедуры соблюдайте рекомендации врача. Только ваш лечащий врач подскажет вам, что нужно делать и какие лекарства принимать.

Рекомендую Вам изучить предыдущую часть, а также почитать статью о гигиене полости рта. Эту часть, эту и обязательно вот эту.