Добавить в корзинуПозвонить
Найти в Дзене
Radiology Hub

Разбор случая #20

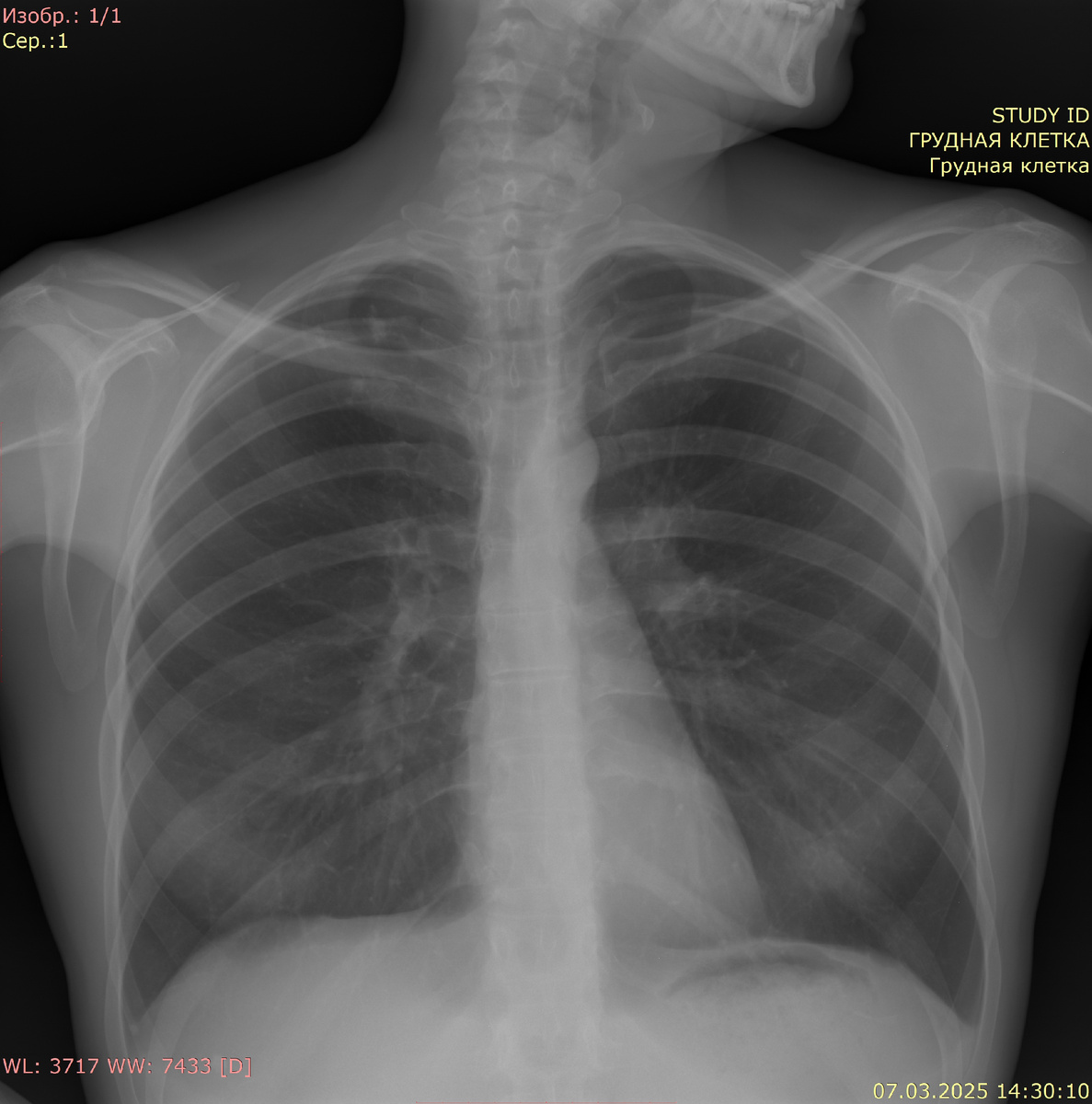
Рентгенография органов грудной клетки в прямой проекции:
Видимые дыхательные пути проходимы. Тень средостения не смещена, не расширена. Корни легких четкие, структурные, не расширены. В верхушках обоих легких очаговые тени до 5-8 мм. Синусы свободны. Костно-деструктивных изменений нет. Свободный газ не определяется.
Заключение: картина туберкулеза легких (уточнение анамнеза). Пневмонии нет

Рентгенография органов грудной клетки в прямой проекции:

Видимые дыхательные пути проходимы. Тень средостения не смещена, не расширена. Корни легких четкие, структурные, не расширены. В верхушках обоих легких очаговые тени до 5-8 мм. Синусы свободны. Костно-деструктивных изменений нет. Свободный газ не определяется.

Заключение: картина туберкулеза легких (уточнение анамнеза). Пневмонии нет