Добавить в корзинуПозвонить
Найти в Дзене
Radiology Hub

Разбор случая #13

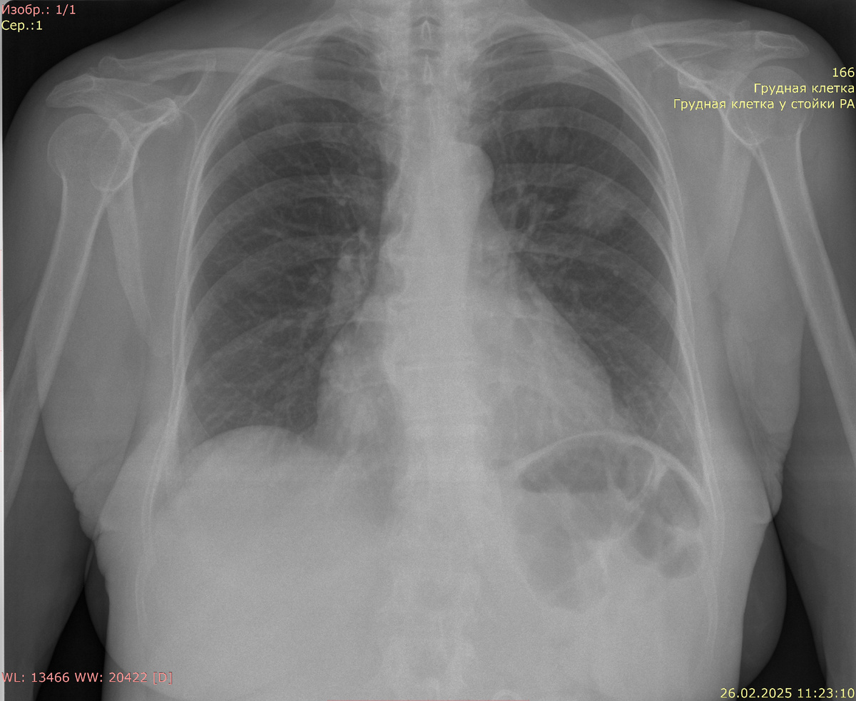
Рентгенография органов грудной клетки в прямой проекции:
Видимые дыхательные пути проходимы. Тень средостения не смещена, не расширена. Корни легких четкие, структурные, не расширены. В среднем поле левого легкого округлая тень с четкими границами диаметром 27 мм, связано "дорожкой" с корнем легкого. Такие же образования поменьше в верхних легочных полях обоих легких. Инфильтративных изменений в легких нет. Синусы свободны. Костно-деструктивных изменений нет. Свободный газ не определяется.
Заключение: образования обоих легких (метастазы?). Уместно дообследование. Гидроторакса, пневмоторакса, пневмонии нет

Рентгенография органов грудной клетки в прямой проекции:

Видимые дыхательные пути проходимы. Тень средостения не смещена, не расширена. Корни легких четкие, структурные, не расширены. В среднем поле левого легкого округлая тень с четкими границами диаметром 27 мм, связано "дорожкой" с корнем легкого. Такие же образования поменьше в верхних легочных полях обоих легких. Инфильтративных изменений в легких нет. Синусы свободны. Костно-деструктивных изменений нет. Свободный газ не определяется.

Заключение: образования обоих легких (метастазы?). Уместно дообследование. Гидроторакса, пневмоторакса, пневмонии нет