Найти в Дзене

Открытый прикус

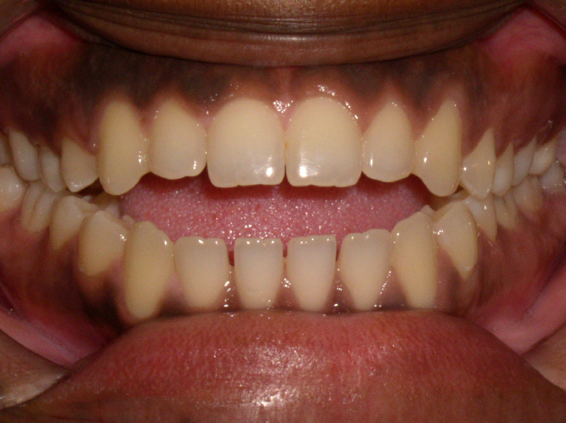
Открытый прикус характеризуется наличием щели между зубами при центральной окклюзии, которая обычно находится в области фронтальных зубов. Существуют две формы открытого прикуса: вертикальная и горизонтальная. Какие причины приводят к открытому прикусу? Причины развития открытого прикуса могут быть разнообразны и включать как врожденные факторы, так и приобретённые привычки: Врожденные причины: 1. Генетическая предрасположенность: Некоторые люди наследуют форму челюсти и расположение зубов от родителей, что может привести к аномалиям прикуса, включая открытый прикус. 2. Рахит: Это заболевание связано с дефицитом витамина D, который влияет на формирование костей, включая челюсть. Рахит может привести к неправильному развитию челюстей и формированию открытого прикуса. Приобретённые причины: 1. Длительное сосание пальца или соски: Если ребёнок долго сосёт палец, пустышку или другие предметы, это может повлиять на развитие верхней и нижней челюстей, вызывая их неправильное смыкание. 2. Зат

Открытый прикус характеризуется наличием щели между зубами при центральной окклюзии, которая обычно находится в области фронтальных зубов. Существуют две формы открытого прикуса: вертикальная и горизонтальная.

Какие причины приводят к открытому прикусу?

Причины развития открытого прикуса могут быть разнообразны и включать как врожденные факторы, так и приобретённые привычки:

Врожденные причины:

1. Генетическая предрасположенность: Некоторые люди наследуют форму челюсти и расположение зубов от родителей, что может привести к аномалиям прикуса, включая открытый прикус.

2. Рахит: Это заболевание связано с дефицитом витамина D, который влияет на формирование костей, включая челюсть. Рахит может привести к неправильному развитию челюстей и формированию открытого прикуса.

Приобретённые причины:

1. Длительное сосание пальца или соски: Если ребёнок долго сосёт палец, пустышку или другие предметы, это может повлиять на развитие верхней и нижней челюстей, вызывая их неправильное смыкание.

2. Затруднённое носовое дыхание: Дети, у которых есть проблемы с носовым дыханием (например, аденоиды), часто дышат ртом. Длительное дыхание через рот приводит к изменению положения языка и мышц лица, что также может способствовать развитию открытого прикуса.

3. Ранняя потеря молочных зубов: Потеря молочных зубов раньше времени без своевременной замены может привести к смещению постоянных зубов и образованию открытого прикуса.

4. Широкая диастема (щель между передними зубами): Она может быть вызвана различными факторами, такими как увеличенный размер уздечки губы или неправильное положение зубов.

5. Травмы и повреждения челюстных суставов: Травма челюсти или сустава может изменить нормальное положение зубов и привести к открытому прикусу.

6. Вредные привычки: Например, привычка грызть ногти, карандаши или другие твёрдые предметы может негативно сказаться на развитии прикуса.

7. Неправильное глотание: Некорректный механизм глотания, когда язык упирается в зубы вместо нёба, может привести к изменениям в положении зубов и развитию открытого прикуса.

8. Бруксизм (скрежетание зубами): Частый бруксизм, особенно ночью, может вызывать смещение зубов и изменение прикуса.

9. Ортодонтическое лечение: Неправильно проведенное ортодонтическое лечение или отсутствие коррекции после снятия брекетов также может стать причиной формирования открытого прикуса.

Медицинские состояния:

10. Макроглоссия (увеличение размеров языка): Увеличенный язык может оказывать давление на зубы, приводя к их расхождению и формированию открытого прикуса.

11. Заболевания височно-нижнечелюстного сустава (ВНЧС): Проблемы с ВНЧС могут влиять на правильное закрытие рта и приводить к открытому прикусу.

12. Опухоли и новообразования: Опухоль или другое образование в ротовой полости может препятствовать нормальному росту и развитию челюстей.

13. Неврологические расстройства: Некоторые неврологические заболевания могут нарушать работу мышц лица и челюсти, что может привести к проблемам с прикусом.

Лечение открытого прикуса зависит от причин его появления и степени выраженности. Важно обратиться к стоматологу для диагностики и выбора наиболее подходящего метода лечения.

Какие методы лечения открытого прикуса существуют?

Методы лечения открытого прикуса зависят от возраста пациента, тяжести случая и индивидуальных особенностей. Основные подходы включают:

1. Ортодонтическое лечение

Это основной метод исправления открытого прикуса. Используются различные виды аппаратов и устройств, которые помогают перемещать зубы и корректировать положение челюстей.

Для детей:

o Пластинки и трейнеры: Эти устройства надеваются на зубы и помогают контролировать рост и развитие челюстей, а также исправлять вредные привычки, такие как сосание пальца или дыхание через рот.

o Миофункциональные тренажеры: Специальные упражнения для тренировки мышц лица и челюсти, чтобы улучшить их функцию и предотвратить дальнейшее развитие открытого прикуса.

Для подростков и взрослых:

o Брекеты: Традиционные металлические, керамические или лингвальные (невидимые) брекеты используются для перемещения зубов и закрытия промежутков. Современные системы, такие как самолигирующие брекеты, могут ускорить процесс лечения.

o Элайнеры (Invisalign): Прозрачные каппы, которые постепенно сдвигают зубы в нужное положение. Они удобны тем, что практически незаметны и легко снимаются для чистки зубов и приёма пищи.

o Аппарат Гербста: Устройство, которое используется для коррекции соотношения челюстей. Оно помогает стимулировать рост одной челюсти относительно другой, закрывая промежуток между зубами.

2. Хирургическое вмешательство

В тяжёлых случаях, когда ортодонтическое лечение неэффективно или невозможно, может потребоваться хирургическая коррекция.

o Остеотомия: Операция, при которой кости челюсти разрезаются и устанавливаются в новое положение. После этого пациент носит специальные фиксаторы для стабилизации результата.

o Коррекция ВНЧС: Если проблема связана с дисфункцией височно-нижнечелюстного сустава, то может потребоваться операция для восстановления нормального функционирования сустава.

3. Протезирование

Иногда для устранения открытого прикуса требуется установка коронок, виниров или имплантатов. Это позволяет восстановить правильную высоту прикуса и закрыть промежутки между зубами.

4. Комбинированные методы

Часто для достижения наилучшего результата необходимо сочетать несколько методов лечения. Например, сначала проводится ортодонтическое лечение для выравнивания зубов, затем может следовать протезирование или хирургическое вмешательство для окончательной коррекции прикуса.

5. Поддерживающая терапия

После основного курса лечения важно поддерживать достигнутые результаты. Это может включать использование ретейнеров (фиксирующих устройств) для предотвращения возврата зубов в исходное положение.

6. Профилактика

Для детей очень важна профилактика, включающая устранение вредных привычек, таких как сосание пальца или соска, а также контроль за правильным развитием челюстей и зубов. Регулярные визиты к стоматологу помогут выявить возможные проблемы на ранних стадиях и принять меры для их предотвращения.

Выбор конкретного метода лечения зависит от многих факторов, поэтому консультация с квалифицированным специалистом крайне важна.

Уважаемые пациенты!

Приглашаем вас посетить наш современный стоматологический центр «Лаки Смайл» на Таганке! Мы предлагаем профессиональные услуги по диагностике и лечению открытого прикуса. Наша команда высококвалифицированных специалистов готова помочь вам достичь идеальной улыбки и здоровья ваших зубов.

Что мы предлагаем:

- Комплексную диагностику, включающую рентгенографию и компьютерную томографию, для точного определения причины и степени открытого прикуса.

-Индивидуальный подход к каждому пациенту – подбор оптимального метода лечения исходя из вашего возраста, состояния зубов и личных предпочтений.

-Современное оборудование и материалы, обеспечивающие высокую точность и комфорт во время процедур.

-Широкий спектр услуг: от установки брекетов и элайнеров до хирургического вмешательства и протезирования.

-Профессиональные консультации и поддержка на всех этапах лечения.

Не откладывайте заботу о своем здоровье! Запишитесь на консультацию уже сегодня и сделайте первый шаг к красивой и здоровой улыбке!

Более подробно о наших ценах https://ls-stom.ru/czenyi