Найти в Дзене

Омоложение лица: а при чем тут стоматолог?

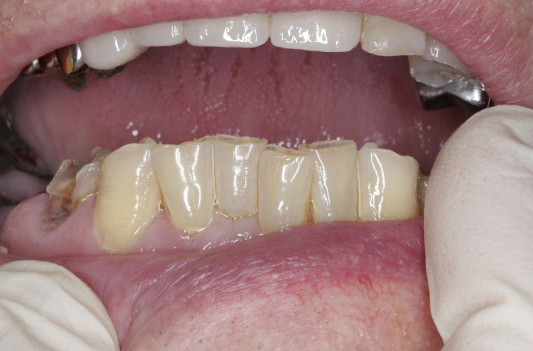
Распространено мнение, что омоложением лица занимается врач-косметолог. При этом состояние зубов упускается из виду, когда речь идет о сохранении молодости. Здоровая и привлекательная улыбка – это гарант того, что человек не будет выглядеть старше своих лет. Забота о зубах такая важная составляющая омоложения лица, как и работа над кожей лица. Все проблемы требуют современных решений Проблема отсутствия или частичного разрушения зубов
Даже один отсутствующий #зуб меняет контур улыбки, провоцирует опущение уголков губ и формирует носогубные и кисетные морщины. Это происходит из-за нарушений структуре костной ткани. Недостающие зубы из жевательной группы способствуют нарушению высоты прикуса, что в свою очередь влечет за собой стачивание оставшихся зубов. Такой пациент может заметить западение губ и формирование морщин вокруг рта. Восстановление разрушенного зуба с помощью коронки или имплантата необходимо выполнять своевременно, чтобы #избежать деформирования костной ткани, разрушени
Оглавление

Распространено мнение, что омоложением лица занимается врач-косметолог. При этом состояние зубов упускается из виду, когда речь идет о сохранении молодости. Здоровая и привлекательная улыбка – это гарант того, что человек не будет выглядеть старше своих лет. Забота о зубах такая важная составляющая омоложения лица, как и работа над кожей лица.

Все проблемы требуют современных решений

Проблема отсутствия или частичного разрушения зубов

Даже один отсутствующий #зуб меняет контур улыбки, провоцирует опущение уголков губ и формирует носогубные и кисетные морщины. Это происходит из-за нарушений структуре костной ткани.

Недостающие зубы из жевательной группы способствуют нарушению высоты прикуса, что в свою очередь влечет за собой стачивание оставшихся зубов. Такой пациент может заметить западение губ и формирование морщин вокруг рта.

-2

Восстановление разрушенного зуба с помощью коронки или имплантата необходимо выполнять своевременно, чтобы #избежать деформирования костной ткани, разрушения #здоровых зубов и негативных последствиях на контуре лица.

Нездоровый цвет зубов, трещины, сколы и другие дефекты

Зубная #эмаль , как и другие ткани в организме человека стареет. Истончение эмали проявляется изменениями цвета и микротрещинами.

-3

Вернуть #эстетичный внешний вид помогут процедуры безопасного отбеливания и #реминерализации - это процедура укрепления эмали , специальными гелями и пастами.

-4

Заметные пломбы

Даже самая качественная пломба, идеально подобранная в цвет зуба может через некоторое время потемнеть, потрескаться, скалываться и стать заметной на фоне #тканей зуба, что не ассоциируется со здоровьем и красотой. Реставрация и замена пломб, которые #портят внешний вид улыбки, позволяет быстро вернуть молодость и красоту пациенту в один визит к стоматологу.

Если вы хотите #продлить молодость , а не просто замаскировать признаки старения, начинайте с ухода и #восстановления здоровья зубов.

Мы желаем вам крепкого здоровья и красивых улыбок!

Еще больше интересной и полезной информации на нашем канале в Телеграм