Добавить в корзинуПозвонить
Найти в Дзене
Павел Иванушкин

Как спасти зуб, когда остался только корень.

Ко мне часто обращаются пациенты со словами «у меня выпала пломба/скололся зуб, но мне его не стали лечить и направили к Вам». Чаще всего такое бывает когда зуб сильно разрушен и пломбой его не получится восстановить и это будет не надежно. Если внешне зуб разрушен чуть выше десны или на уровне, один из вариантов восстановления это культевая вкладка + коронка культевая вкладка - штифт который устанавливается в корень зуба для лучшей фиксации коронки зуба Коронка - ортопедическая конструктця которой покрывается разрушенный зуб. В данном случае зубы с установленными вкладками Конечно не все зубы можно так восстановить, это зависит от того как хорошо был запломбирован канал зуба раньше, нету ли восполнениям вокруг корня и тд.. этому пациенту повезло, все данные которые я получил из диагностики дали мне понять что эти зубы простоят еще не один год. Десна немного красная после установки коронок, на следующий день, все пройдет. Ставьте лайк если понравилась работа 😊

Ко мне часто обращаются пациенты со словами «у меня выпала пломба/скололся зуб, но мне его не стали лечить и направили к Вам».

Чаще всего такое бывает когда зуб сильно разрушен и пломбой его не получится восстановить и это будет не надежно.

Если внешне зуб разрушен чуть выше десны или на уровне, один из вариантов восстановления это

культевая вкладка + коронка

культевая вкладка - штифт который устанавливается в корень зуба для лучшей фиксации коронки зуба

Культевая вкладка на схеме
Культевая вкладка на схеме
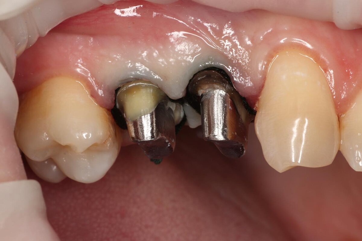
Культевые вкладки в полости рта
Культевые вкладки в полости рта

Коронка - ортопедическая конструктця которой покрывается разрушенный зуб. В данном случае зубы с установленными вкладками

Конечно не все зубы можно так восстановить, это зависит от того как хорошо был запломбирован канал зуба раньше, нету ли восполнениям вокруг корня и тд..

этому пациенту повезло, все данные которые я получил из диагностики дали мне понять что эти зубы простоят еще не один год.

Вид зубов покрытые циркониевыми коронками
Вид зубов покрытые циркониевыми коронками

Десна немного красная после установки коронок, на следующий день, все пройдет.

Ставьте лайк если понравилась работа 😊