Добавить в корзинуПозвонить
Найти в Дзене

Сохранение объема альвеолярного гребня c использованием β-костного заменителя: опыт имплантологов разных стран.

Введение. Удаление зуба как операция, получившая особое значение с развитием возможностей в имплантологическом лечении, все же является травматичной процедурой и часто заканчивается потерей альвеолярной кости и окружающих тканей. Последнее может повлиять на успешность ортопедического лечения, в частности - установки импланта. Особенно это касается тех случаев, когда искусственные зубы необходимо удерживать на месте с помощью зубных имплантов, вставленных в челюсть там, где раньше находились собственные зубы. Поэтому сохранение объема и формы альвеолярного гребня после удаления зуба остается актуальной задачей. В этой статье мы хотели бы рассказать вам об успешном опыте трех хирургов разных стран, участвовавших в международном исследовании в рамках апробации синтетического костнозамещающего материала Easy Graft. Забегая вперед, хотелось бы отметить, что целью представленной ниже серии клинических случаев было изучение возможности использования затвердевающего аллопластического трансплан
Оглавление

Введение.

Удаление зуба как операция, получившая особое значение с развитием возможностей в имплантологическом лечении, все же является травматичной процедурой и часто заканчивается потерей альвеолярной кости и окружающих тканей. Последнее может повлиять на успешность ортопедического лечения, в частности - установки импланта. Особенно это касается тех случаев, когда искусственные зубы необходимо удерживать на месте с помощью зубных имплантов, вставленных в челюсть там, где раньше находились собственные зубы. Поэтому сохранение объема и формы альвеолярного гребня после удаления зуба остается актуальной задачей.

В этой статье мы хотели бы рассказать вам об успешном опыте трех хирургов разных стран, участвовавших в международном исследовании в рамках апробации синтетического костнозамещающего материала Easy Graft. Забегая вперед, хотелось бы отметить, что целью представленной ниже серии клинических случаев было изучение возможности использования затвердевающего аллопластического трансплантата, резорбируемого in situ, минимально инвазивным способом для сохранения постэкстракционного гребня и последующей успешной установки имплантатов.

Минас Д. Левентис (Греция), Питер Фэрбэрн (США), Ашиш Какар (Индия), Ангелос Д. Левентис (Греция), Василейос Маргаритис (США), Вальтер Люккерат (Германия), Роберт А. Хоровиц (США), Баппанаду Х. Рао (Индия), Аннет Линднер (Германия), и Хайнер Нагурски (Германия) – авторы исследовательской статьи, опубликованной в Международном журнале стоматологии научного издательства Хиндави (Hindawi Publishing Corporation). Данная статья является результатом их исследования клинических случаев пациентов, которым потребовалось удаление зуба верхней или нижней челюсти с последующей установкой одного импланта.

Во всех случаях применялись стандартные, но минимально инвазивные хирургические методы. Экстракции и трансплантация были проведены без поднятия лоскута.

Материалы и методы.

Вводная информация:

- В исследовании приняли участие 10 пациентов (8 женщин и 2 мужчин) со средним возрастом 45,7 лет (диапазон от 23 до 76 лет)/ На момент консультации все пациенты были в целом здоровы, в список были включены в том числе курильщики;

- Причинами удаления зубов были неудачи эндодонтического лечения, прогрессирующий кариес и разрушения (рис.1 и 2);

Рис.1а.
Рис.1а.
Рис. 1б.
Рис. 1б.
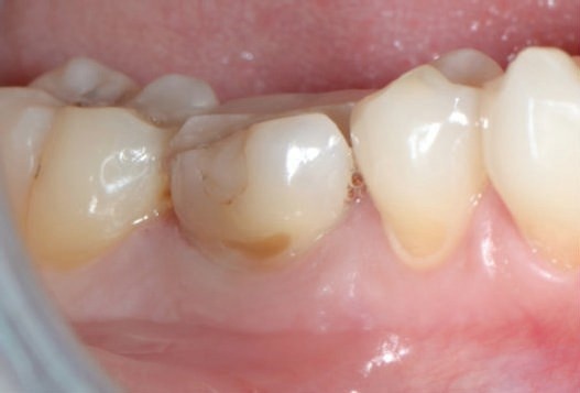
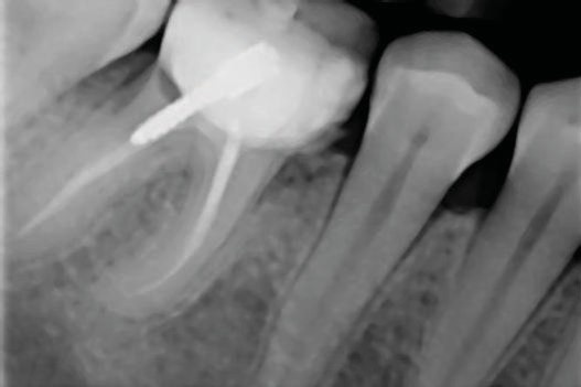
Рис.1в. Нереставрируемый первый большой кореной зуб нижней челюсти. (a) Исходная клиническая картина; (б) периапикальная рентгенограмма; (в) окклюзионный вид, показывающий мезиодистальное разрушение.
Рис.1в. Нереставрируемый первый большой кореной зуб нижней челюсти. (a) Исходная клиническая картина; (б) периапикальная рентгенограмма; (в) окклюзионный вид, показывающий мезиодистальное разрушение.

- Сбор случаев проводился в 3х различных клиниках. Все пациенты находились под наблюдением и клиническим обследованием каждые 2 недели в период заживления в соответствии со стандартным лечением;

- Всем пациентам были сделаны периапикальные рентгеновские снимки до удаления, сразу после удаления и трансплантации, а также через 4 месяца.

Рис. 2а.
Рис. 2а.
Рис. 2б.
Рис. 2б.
Рис. 2в. "Атравматическая" экстракция, проведенная без поднятия лоскута. Разделение корней, буккальный (a) и окклюзионный (б) виды; (в) подготовка и удаление каждого корня отдельно с помощью элеватора с тонкой щечкой.
Рис. 2в. "Атравматическая" экстракция, проведенная без поднятия лоскута. Разделение корней, буккальный (a) и окклюзионный (б) виды; (в) подготовка и удаление каждого корня отдельно с помощью элеватора с тонкой щечкой.

Для всех участников была запланирована следующая процедура:

- удаление зуба проводилось под местной анестезией без поднятия лоскута;

- периотомы и пинцеты использовались очень аккуратно;

- многокорневые зубы были разрезаны бором Линдерманна для минимизации хирургической травмы. Каждый корень подготавливался по отдельности и осторожно вынут;

- все лунки тщательно выскабливались для удаления грануляционной ткани, после чего промывались стерильным физраствором.

- затем пародонтальный зонд использовался для исследования буккальной пластинки.

- далее проводилась трансплантация в соответствии с инструкцией производителя полностью рассасывающимся аллопластическим костным заменителем, твердеющим in situ – Easy Graft Classic, Швейцария.

Материал состоит из B-TCP-гранул, покрытых тонким слоем полилакрида (PLGA) и предварительно помещенных в пластиковый стерильный шприц, и превращается в липкую массу при смешивании с прилагаемой в комплекте жидкостью Biolinker. Смешанный материал начинает постепенно затвердевать in situ после нанесения на лунку и контакта с кровью. Для уплотнения гранул и ускорения затвердевания трансплантата in situ использовалась смоченная физраствором марля – через несколько минут аллопластический костный заменитель формирует устойчивую, прочную, пористую матрицу для регенерации материнской костной ткани.

Рис.3а
Рис.3а
Рис.3б.
Рис.3б.
Рис.3в.
Рис.3в.

- после на участок накладывали гемостатическую повязку и поперечный 5/0 шов без натяжения для достижения устойчивости мягких тканей (Рис.3г,д,е). Все участки оставляли неприкрытыми без первичного закрытия для заживления вторичным натяжением. В период заживления (рис.4 а.б.в) пациенты не носили никаких протезов, а курящим пациентам было рекомендовано воздержаться от курения в течение как минимум 1 недели после операции.

Рис.3г.
Рис.3г.
Рис.3д
Рис.3д
Рис.3д.
Рис.3д.
Рис. 4а.
Рис. 4а.
Рис. 4б.
Рис. 4б.
Рисунок 4в: Заживление мягких тканей. (a, б) Клиническая картина через 1 неделю после операции. Гемостатический перевязочный материал в верхней части открытой трансплантированной лунки уже смыт. Однако трансплантационный материал устойчив, и мягкие ткани начинают разрастаться над ним; (в) клиническая картина через 4 месяца после операции. Участок покрыт новообразованным эпителием, буккальные кератинизированные мягкие ткани и размеры гребня адекватно сохранены, а мукогингивальное соединение не смещено.
Рисунок 4в: Заживление мягких тканей. (a, б) Клиническая картина через 1 неделю после операции. Гемостатический перевязочный материал в верхней части открытой трансплантированной лунки уже смыт. Однако трансплантационный материал устойчив, и мягкие ткани начинают разрастаться над ним; (в) клиническая картина через 4 месяца после операции. Участок покрыт новообразованным эпителием, буккальные кератинизированные мягкие ткани и размеры гребня адекватно сохранены, а мукогингивальное соединение не смещено.

- через 4 месяца участки были повторно обработаны для установки имплантантов. Для обнажения регенерированной твердой ткани был поднят специфический мукопериостальный лоскут на всю толщину участка. Корбиопсия была взята с минимальной глубины - 7 мм от центра участка с помощью трефина с диаметром 2,3 мм. После забора образца кости в том же месте была завершена подготовка костного ложа и установлен имплантат в соответствии с хирургическим протоколом производителя. Сразу же после установки регистрировался окончательный крутящий момент с помощью реверсивного ключа производителя, а также измерялась начальная устойчивость с помощью анализа резонансной частоты (Osstell ISQ [Показатель устойчивости имплантата]). Для каждого имплантата было зарегистрировано 2 измерения ISQ, палатально (или лингвально) и мезиально, в соответствии с рекомендациями компании. Мукопериостальный лоскут был закрыт с помощью 4-0 рассасывающихся швов.

Рис. 5а.
Рис. 5а.
Рис. 5б.
Рис. 5б.
Рис. 5в.
Рис. 5в.
Рис. 5г.
Рис. 5г.
Рис. 5д.
Рис. 5д.
Рис. 5е.  Повторное хирургическое вмешательство через 4 месяца. Интраоперационная картина (a) и периапикальный рентгеновский снимок (б), показывающие образование новой кости; трефинационная биопсия (в, г); установка имплантата в оптимальном положении (д, е).
Рис. 5е. Повторное хирургическое вмешательство через 4 месяца. Интраоперационная картина (a) и периапикальный рентгеновский снимок (б), показывающие образование новой кости; трефинационная биопсия (в, г); установка имплантата в оптимальном положении (д, е).

По результатам проводилась гистологическая и гистоморфометрическая оценка. Контрольная область для гистоморфометрической оценки составляла весь участок при биопсии. Значения, измеренные в % от исследуемой площади, были взяты для биоматериала старой кости и новообразованной кости. Трефинные боры с костными биопсиями внутри фиксировались в четырехпроцентном формалине в течение 5-7 дней, промывались в воде и дегидратировались последовательно в этаноле (70%, 80%, 90% и 100%), оставаясь в течение одного дня в каждой концентрации. Затем образцы инфильтрировали, встраивали и полимеризовали в смоле в соответствии с инструкциями производителя. После полимеризации образцы были разрезаны на 500 𝜇м срезы с помощью точного отрезного станка Secotom 50. Срезы были установлены на акриловые предметные стекла и отшлифованы до конечной толщины приблизительно в 60 𝜇м на вращающемся шлифовальном станке. Образцы затем окрашивались красителями Azur II и Парарозанилином, что позволяло дифференцировать гранулы трансплантата, предшествующую и новообразованную кости. Визуализация проводилась с помощью микроскопа Axio Imager M1, оснащенного цифровой камерой AxioCam HRc. Гистоморфометрический анализ проводился одним наблюдателем в цифровом формате с использованием программного обеспечения analySIS FIVE. Результаты отражены в таблице 1. Данные были выражены как среднее ± стандартное отклонение (SD). Для анализа связи между количественными показателями использовался коэффициент корреляции Пирсона, а статистическая значимость была установлена при p < 0,05. Все анализы проводились с использованием пакета программ SPSS вер. 17.00.

Таблица 1: Характеристики пациентов, объемная плотность новой кости, остатков имплантата и соединительной ткани/костного мозга в биопсии, а также измерения ISQ и конечного крутящего момента
Таблица 1: Характеристики пациентов, объемная плотность новой кости, остатков имплантата и соединительной ткани/костного мозга в биопсии, а также измерения ISQ и конечного крутящего момента

Во всех случаях послеоперационное заживление прошло без осложнений. Клинически наблюдалась та же картина заживления мягких тканей: Гемостатический перевязочный материал сверху открытой имплантированной лунки был смыт в первые 2 дня после операции. Однако в период заживления не наблюдалось потери или секвестрации гранул костного трансплантата, хотя участки оставались непокрытыми. Благодаря специфическим биомеханическим свойствам трансплантационного материала, затвердевающего in situ, устойчивые гранулы обеспечивали прочную неподвижную матрицу, по которой вновь образованные мягкие ткани мигрировали из краев лунок, достигая заживления мягких тканей вторичным натяжением. Впоследствии эпителиальные клетки с периферии разрастались над этим слоем соединительной ткани, и через 4 месяца все участки были покрыты новообразованным кератинизированным эпителием. В этот период клинический осмотр показал, что объем и архитектура гребней были сохранены в достаточной степени. У одного пациента перед вторым этапом хирургии была взята небольшая биопсия новообразованной мягкой ткани на вершине гребня. Гистологическое исследование показало, что через 4 месяца лунка была покрыта кератинизированным эпителием, идентичным окружающим материнским мягким тканям.

Гистологически все проанализированные биопсии содержали новообразованную кость, остатки трансплантата и хорошо васкуляризированную не воспаленную соединительную ткань. Некроза или реакции на инородное тело обнаружено не было. Гранулы трансплантата были окружены или находились в контакте с активными остеобластами, образующими остеоид и новую костную ткань, демонстрируя постоянный остеогенез. В этот период времени частицы трансплантата распадались не полностью, демонстрируя клеточные инфильтраты в виде лимфоцитов и базофилов, будучи интегрированными в новообразованную кость. Рассасывающиеся гранулы трансплантационного материала также можно было обнаружить включенными в соединительную ткань без гистологических признаков воспаления. Во многих зонах было видно активное ремоделирование костной ткани, когда зрелая пластинчатая кость заменяла тканевую кость.

Гистоморфометрический анализ показал, что через 4 месяца заживления новая кость составляла 24,4 ± 7,9% ткани, остатки трансплантационного материала - 12,9 ± 7,7% ткани, в то время как 60,5 ± 7,4% занимала соединительная ткань/костный мозг. Во всех случаях через 2 месяца после установки имплантата был сделан вертикальный разрез на альвеолярном гребне и установлен заживляющий абатмент.

Рисунок 6: Одна неделя заживления вторичного натяжения после имплантации лунки.
Рисунок 6: Одна неделя заживления вторичного натяжения после имплантации лунки.

В итоге отсутствие нежелательного врастания мягких тканей в место трансплантации было подтверждено клинически, а также гистологически во всех случаях на втором этапе хирургии. Результаты исследователей согласуются с данными Джурича и др., которые заполняли постэкстракционные лунки затвердевающими in situ гранулами двухфазного фосфата кальция, покрытыми PLGA, не добиваясь первичного закрытия или покрытия участка барьерной мембраной. Авторы обнаружили, что все обработанные участки зажили без осложнений, самопроизвольным заживлением открытой лунки, без местных осложнений и инфекций или дискомфорта пациента в течение 4 месяцев периода наблюдения (рис.6). На основании всех вышеизложенных результатов можно предположить, что добавление PLGA к трансплантату приводит к образованию устойчивого, твердого аллопластического заменителя кости, препятствующего потере гранул на открытых участках и, в то же время, служащего барьерной мембраной для предотвращения врастания мягких тканей. Иначе, может потребоваться лоскут и/или барьерная мембрана для обеспечения необходимой устойчивости и защиты свободных измельченных костных трансплантатов, не обладающих свойствами самозатвердевания. Аргумент в пользу применения беслоскутных методов, когда это возможно, также подтверждается выводами систематического обзора, проведенного Ванг и Ланг.

Результаты.

В отчете данного исследования сообщалось, что все участки были самопроизвольно полностью покрыты новообразованной кератинизированной мягкой тканью, а буккальные кератинизированные мягкие ткани сохранились спустя 4 месяца (Рис.7). Поскольку наличие достаточной зоны кератинизированной десны является важным параметром в достижении эстетической реставрации имплантатами, предотвращение будущих рецессий слизистой оболочки и улучшения общей долгосрочной устойчивости имплантатов, использование беслоскутной техники с применением биомеханических свойств аллопластических трансплантатов, затвердевающих in situ, представляется преимуществом для клинических врачей и пациентов, где это применимо. Во всех исследованных случаях размеры гребня достаточно сохранялись через 4 месяца. Через 8 недель после заживления они обнаружили, что в дефектах, заполненных β-TCP или аутогенной костью, регенерировалось больше кости, чем в дефектах, заполненных ксенотрансплантатом. Параллельно частицы аутотрансплантата и β-TCP почти полностью рассосались, в то время как неорганическая бычья кость не показала признаков резорбции.

Результаты этой серии клинических случаев подтверждают использование затвердевающего in situ аллопластического рассасывающегося трансплантационного материала Easy Graft Classic для регенерации кости в постэкстракционных участках. Трансплантация лунок без первичного закрытия раны может быть эффективным минимально инвазивным методом сохранения контура и архитектуры альвеолярного гребня. Характеристики затвердевания используемого трансплантационного материала, по-видимому, имеют большое значение для стабильности места заживления и успеха вышеупомянутой техники.

Авторы статьи: Минас Д. Левентис (1), Питер Фэрбэрн (2), Ашиш Какар (3), Ангелос Д. Левентис (4), Василейос Маргаритис (5), Вальтер Люккерат (6), Роберт А. Хоровиц (7), Баппанаду Х. Рао (3), Аннет Линднер (8), и Хайнер Нагурски (9).

1 Кафедра челюстно-лицевой хирургии, стоматологическая школа, Афинский университет, ул. Тивон, 2, Гуди, 115 27 Афины, Греция

2 Кафедра пародонтологии и имплантологии, Школа стоматологии, Университет г. Детройт. Мерси, 2700 бульвар Мартина Лютера Кинга-младшего, Детройт, Мичиган 48208, США

3 Стоматологический колледж, Университет Енепойя, Юнивёсити роуд, Мангалор, Карнатака 575018, Индия

4 Медицинская школа, Афинский университет, улица М. Ассиаса, 75, 115 27 Афины, Греция

5 Кандидат наук и доктор общественного здравоохранения программы общественного здравоохранения, Научный колледж здравоохранения, Университет Уолдена, 100 Проспект С Вашингтона № 900, Миннеаполис, Миннесота 55401, США

6 Кафедра ортопедической стоматологии, доклинического образования и материаловедения, Боннский университет, Регина-Пацис-Вег 3, 53113 Бонн, Германия

7 Кафедры пародонтологии, имплантационной стоматологии и челюстно-лицевой хирургии, Стоматологический колледж Нью-Йоркского университета, В. 24 Улица 345 , Нью-Йорк, НЙ 10010, США

8 Кафедра челюстно-лицевой хирургии, анализа клеточных тканей (АКТ), Медицинский центр, Университет Фрайбурга, улица Хугштеттер 55, 79106 Фрайбург, Германия

9 Институт клинической химии и лабораторной медицины, Медицинский центр, Университет Фрайбурга, улица Хугштеттер 55, 79106 Фрайбург, Германия

Список используемой литературы:

M. G. Ara´ujo and J. Lindhe, “Ridge alterations following tooth extraction with and without flap elevation: an experimental study in the dog,” Clinical Oral Implants Research, vol. 20, no. 6, pp. 545–549, 2009.

M. G. Ara´ujo, J. C. C. da Silva, A. F. deMendonc¸a, and J. Lindhe, “Ridge alterations following grafting of fresh extraction sockets in man. A randomized clinical trial,” Clinical Oral Implants Research, vol. 26, no. 4, pp. 407–412, 2015.

R. Horowitz, D. Holtzclaw, and P. S. Rosen, “A review on alveolar ridge preservation following tooth extraction,” Journal of Evidence-Based Dental Practice, vol. 12,no. 3, supplement, pp. 149–160, 2012.

W. L. Tan, T. L. T. Wong, M. C. M.Wong, and N. P. Lang, “A systematic review of post-extractional alveolar hard and soft tissue dimensional changes in humans,” Clinical Oral Implants Research, vol. 23, no. 5, pp. 1–21, 2012.

G. Vittorini Orgeas, M. Clementini, V. De Risi, and M. de Sanctis, “Surgical techniques for alveolar socket preservation: a systematic review,” The International Journal of Oral & Maxillofacial Implants, vol. 28, no. 4, pp. 1049–1061, 2013.

A. Horv´ath, N.Mardas, L. A. Mezzomo, I. G. Needleman, and N. Donos, “Alveolar ridge preservation. A systematic review,” Clinical Oral Investigations, vol. 17, no. 2, pp. 341–363, 2013.

R. A. Horowitz, M. D. Leventis, M. D. Rohrer et al., “Bone grafting: history, rationale, and selection of materials and techniques,” Compendium of Continuing Education in Dentistry, vol. 35, no. 4, supplement, pp. 1–6, 2014.

H.-L. Chan,G.-H. Lin, J.-H. Fu, andH.-L.Wang, “Alterations in bone quality after socket preservation with grafting materials: a systematic review,” The International Journal of Oral & Maxillofacial Implants, vol. 28, no. 3, pp. 710–720, 2013.

M.D. Leventis, P. Fairbairn, and R.A.Horowitz, “Extraction site preservation using an in-situ hardening alloplastic bone graft substitute,” Compendium of Continuing Education in Dentistry, vol. 35, no. 4, pp. 11–13, 2014.

G. Pagni, G. Pellegrini, W. V. Giannobile, and G. Rasperini, “Postextraction alveolar ridge preservation: biological basis and treatments,” International Journal of Dentistry, vol. 2012,Article ID 151030, 13 pages, 2012.

J. D. Keith Jr. and M. A. Salama, “Ridge preservation and augmentation using regenerative materials to enhance implant predictability and esthetics,” Compendium of Continuing Education in Dentistry, vol. 28, no. 11, pp. 614–624, 2007.

R. E. Wang and N. P. Lang, “Ridge preservation after tooth extraction,” Clinical Oral Implants Research, vol. 23, no. 6, supplement, pp. 147–156, 2012.

A. Mordenfeld, M. Hallman, C. B. Johansson, and T. Albrektsson, “Histological and histomorphometrical analyses of biopsies harvested 11 years after maxillary sinus floor augmentation with deproteinized bovine and autogenous bone,” Clinical Oral Implants Research, vol. 21, no. 9, pp. 961–970, 2010.

R. J. Miron, A. Sculean, Y. Shuang et al., “Osteoinductive potential of a novel biphasic calcium phosphate bone graft in comparison with autographs, xenografts, and DFDBA,” Clinical Oral Implants Research, 2015.

H. Yuan, H. Fernandes, P. Habibovic et al., “Osteoinductive ceramics as a synthetic alternative to autologous bone grafting,” Proceedings of the National Academy of Sciences of the United States of America, vol. 107, no. 31, pp. 13614–13619, 2010.

A. Palti and T. Hoch, “A concept for the treatment of various dental bone defects,” Implant Dentistry, vol. 11, no. 1, pp. 73–78, 2002.

N. Harel, O. Moses, A. Palti, and Z. Ormianer, “Long-term results of implants immediately placed into extraction sockets grafted with 𝛽-tricalcium phosphate: a retrospective study,”Journal of Oral andMaxillofacial Surgery, vol. 71, no. 2, pp. e63–e68, 2013.

Z. Artzi, M. Weinreb, N. Givol et al., “Biomaterial resorption rate and healing site morphology of inorganic bovine bone and 𝛽-tricalcium phosphate in the canine: a 24-month longitudinal histologic study and morphometric analysis,” The International Journal of Oral andMaxillofacial Implants, vol. 19,no. 3, pp. 357–368, 2004.

P. Trisi, W. Rao, A. Rebaudi, and P. Fiore, “Histologic effect of pure-phase beta-tricalcium phosphate on bone regeneration in human artificial jawbone defects,” International Journal of Periodontics and Restorative Dentistry, vol. 23, no. 1, pp. 69–77, 2003.

P. N. R. Nair, H.-U. Luder, F. A. Maspero, J. H. Fischer, and J. Schug, “Biocompatibility of 𝛽-tricalcium phosphate root replicas in porcine tooth extraction sockets-a correlative histological, ultrastructural, and X-ray microanalytical pilot study,” Journal of Biomaterials Applications, vol. 20, no. 4, pp. 307–324, 2006.

P. R. Schmidlin, F. Nicholls, A. Kruse, R. A. Zwahlen, and F. E. Weber, “Evaluation of moldable, in situ hardening calcium phosphate bone graft substitutes,” Clinical Oral Implants Research, vol. 24, no. 2, pp. 149–157, 2013.

M. Juriˇsi´c, M. Manojlovi´c-Stojanoski, M. Andri´c et al., “Histological and morphometric aspects of Ridge preservation with a moldable, in situ hardening bone graft substitute,” Archives of Biological Sciences, vol. 65, no. 2, pp. 429–438, 2013.

I. Turkyilmaz, “A comparison between insertion torque and resonance frequency in the assessment of torque capacity and primary stability of Br˚anemark systemimplants,” Journal of Oral Rehabilitation, vol. 33, no. 10, pp. 754–759, 2006.

M. Herekar, M. Sethi, T. Ahmad, A. S. Fernandes, V. Patil, and H. Kulkarni, “A correlation between bone (B), insertion torque (IT), and implant stability (S): BITS score,” Journal of Prosthetic Dentistry, vol. 112, no. 4, pp. 805–810, 2014.

N. Meredith, D. Alleyne, and P. Cawley, “Quantitative determination of the stability of the implant-tissue interface using resonance frequency analysis,” Clinical Oral Implants Research, vol. 7, no. 3, pp. 261–267, 1996.

B. M. B. Brkovic, H. S. Prasad, G. Konandreas et al., “Simple preservation of a maxillary extraction socket using betatricalcium phosphate with type I collagen: preliminary clinical and histomorphometric observations,” Journal of the Canadian Dental Association, vol. 74, no. 6, pp. 523–528, 2008.

R. A. Delgado-Ruiz, J. L. Calvo-Guirado, M. Abboud et al., “Porous titanium granules in critical size defects of rabbit tibia with or without membranes,” International Journal of Oral Science, vol. 6, no. 2, pp. 105–110, 2014.

J.-H. Fu, A. Lee, and H.-L. Wang, “Influence of tissue biotype on implant esthetics,” The International Journal of Oral & Maxillofacial Implants, vol. 26, no. 3, pp. 499–508, 2011.

A. Lee, J.-H. Fu, and H.-L. Wang, “Soft tissue biotype affects implant success,” Implant Dentistry, vol. 20, no. 3, pp. e38–e47, 2011.

D. Cardaropoli and G. Cardaropoli, “Preservation of the postextraction alveolar ridge: a clinical and histologic study,” The International Journal of Periodontics & Restorative Dentistry, vol. 28, no. 5, pp. 469–477, 2008.

D. Carmagnola, P. Adriaens, and T. Berglundh, “Healing of human extraction sockets filled with Bio-Oss,” Clinical Oral Implants Research, vol. 14, no. 2, pp. 137–143, 2003.

A. Roy, S. Jhunjhunwala, E. Bayer, M. Fedorchak, S. R. Little, and P. N. Kumta, “Porous calcium phosphate-poly (lactic-coglycolic) acid composite bone cement: a viable tunable drug delivery system,” Materials Science and Engineering C, vol. 59, pp. 92–101, 2016.

A. Ogose, N. Kondo, H. Umezu et al., “Histological assessment in grafts of highly purified beta-tricalcium phosphate (OSferion) in human bones,” Biomaterials, vol. 27, no. 8, pp. 1542–1549, 2006.

K. Ruffieux, “New syringe-delivered,moldable, alloplastic bone graft substitute,” Compendium of Continuing Education in Dentistry, vol. 35, no. 4, supplement, pp. 8–10, 2014.

R. A. Horowitz, Z.Mazor, C. Foitzik, H. Prasad,M. Rohrer, and A. Palti, “𝛽-tricalcium phosphate as bone substitute material: properties and clinical applications,” Journal ofOsseointegration, vol. 2, no. 2, pp. 61–68, 2010.

E. Pamula and E. Menaszek, “In vitro and in vivo degradation of poly (L-lactide-co-glycolide) films and scaffolds,” Journal of Materials Science:Materials inMedicine, vol. 19, no. 5, pp. 2063–2070, 2008.

D.Knaack, M. E. P.Goad,M.Aiolova et al., “Resorbable calcium phosphate bone substitute,” Journal of Biomedical Materials Research, vol. 43, no. 4, pp. 399–409, 1998.

R. Guarnieri, G. Pecora, M. Fini et al., “Medical grade calcium sulfate hemihydrate in healing of human extraction sockets: clinical and histological observations at 3 months,” Journal of Periodontology, vol. 75, no. 6, pp. 902–908, 2004.

S. S. Jensen, N. Broggini, E. Hjørting-Hansen, R. Schenk, and D. Buser, “Bone healing and graft resorption of autograft, anorganic bovine bone and 𝛽-tricalcium phosphate. A histologic and histomorphometric study in the mandibles of minipigs,” Clinical Oral Implants Research, vol. 17, no. 3, pp. 237–243, 2006.

R. Dimitriou, G. I. Mataliotakis, G. M. Calori, and P. V. Giannoudis, “The role of barrier membranes for guided bone regeneration and restoration of large bone defects: current experimental and clinical evidence,” BMC Medicine, vol. 10, article 81, 2012.

D. Buser, C. Dahlin, and R. K. Schenk, Guided Bone Regeneration in Implant Dentistry, Quintessence Publishing, London, UK, 1995.

A. Troedhan, I. Schlichting, A. Kurrek, and M. Wainwright, “Primary implant stability in augmented sinuslift-sites after completed bone regeneration: a randomized controlled clinical study comparing four subantrally inserted biomaterials,” Scientific Reports, vol. 4, article 5877, 2014.

M. ´ A. Fuster-Torres, M. Pe˜narrocha-Diago, D. Pe˜narrocha-Oltra, and M. Pe˜narrocha-Diago, “Relationships between bone density values from cone beam computed tomography, maximum insertion torque, and resonance frequency analysis at implant placement: a pilot study,” The International Journal of Oral&Maxillofacial Implants, vol. 26, no. 5, pp. 1051–1056, 2011.

M. Marquezan, A. Os´orio, E. Sant’Anna, M. M. Souza, and L. Maia, “Does bone mineral density influence the primary stability of dental implants? A systematic review,” Clinical Oral Implants Research, vol. 23, no. 7, pp. 767–774, 2012.