Найти в Дзене
Доктор Вова

А что если вы больны туберкулёзом и даже не знаете об этом?

Ведь 24 марта отмечается Всемирный день борьбы с туберкулёзом
Оглавление

Вот и приближающаяся нынче дата весьма в тему. Ведь 24 марта отмечается Всемирный день борьбы с туберкулёзом (хотя с моим скромным знанием английского языка я бы подумал, что название "World Tuberculosis Day" - это какое-то провозглашение дня апокалипсиса). Как бы то ни было. Туберкулёз - реально коварная болезнь. Знаете почему? Потому, что почти все мы им условно заражены.

Мы привыкли думать, что #туберкулез легких (или как раньше его называли - «чахотка») – это болезнь каких-то лютых маргиналов. Скажем, тех, кто находится в «местах не столь отдаленных». Или тех, кто беспробудно пьёт спиртное с сомнительными корешами. Или тех, кого мы называем БОМЖами (вы же знали, да, что #БОМЖ - это аббревиатура от фразы «без определённого места жительства»).

Я не могу ручаться на 100%, но на фото человек очень похож на "туберкулёзника". Фото сделано Максимом Дондюком (Украина), позаимствовано с сайта lb.ua
Я не могу ручаться на 100%, но на фото человек очень похож на "туберкулёзника". Фото сделано Максимом Дондюком (Украина), позаимствовано с сайта lb.ua

В реальности же - туберкулёзом потенциально болен почти каждый из нас. И по имеющейся статистике - чаще от него страдают вполне состоявшиеся и благополучные люди.

Из практики.
Девушка, 25 лет. Не пьёт (только вино и в хорошей компании). Не курит (от слова «совсем»), половые связи умеренно порядочны. Работает экономистом на крупном предприятии, достаток средний. Живет одна в собственной квартире, детей нет. Иногда выкладывает фотки в инсту после путешествий или загородных прогулок (эх, беззаботное докоронавирусное время).
Весной (в марте) на фоне полного благополучия вдруг начинает нет-нет, да кашлять. Не придала значения, списала на ОРВИ. К врачу не обращалась. Проходит второй месяц, продолжает по-прежнему «подкашливать».
Примерно к маю начинает понимать: «что-то тут явно неладное происходит». Кашель остается, температурка такая гаденькая (37.2) всё время присутствует, слабость какая-то непонятная.
Обычным теплым майским днём пришла она к терапевту в поликлинику на консультацию. А вышла обратно в наш бренный мир аж через 6 месяцев после тотальной изоляции в туберкулёзном диспансере. Еще и 2 шрама получила на спине после хирургического вмешательства.

Почему так?

Дело в том, что почти у каждого из нас (в 90-97% процентах случаев) в легких с самого раннего детства есть, так называемый, «первичный очаг Гона», из которого как раз и развивается #туберкулёз

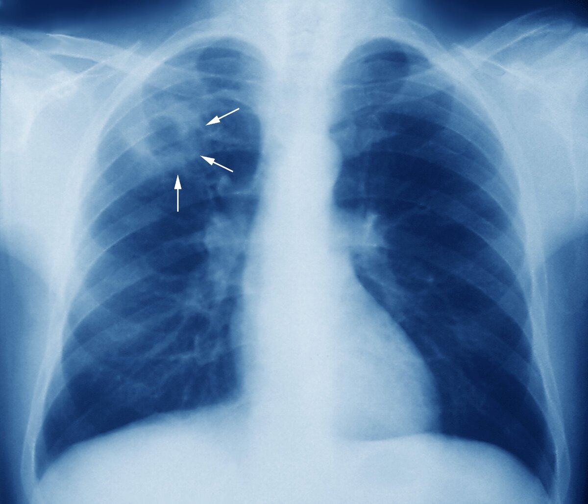
Первичный очаг Гона во всём его великолепии. Рентгеновский снимок взят из открытых источников. Только не нужно его искать на своих рентгеновских снимках. Он не всегда бывает именно такого вида.
Первичный очаг Гона во всём его великолепии. Рентгеновский снимок взят из открытых источников. Только не нужно его искать на своих рентгеновских снимках. Он не всегда бывает именно такого вида.

По абсолютно ни для кого до сих пор неизвестным причинам у одних – он перерастает в реальное заболевание, а у других – абсолютно никак себя не проявляет до самой нашей смерти. Так что, потенциально: все мы – «чахоточники».

Что должно насторожить?

  • Субфебрильная температура (что это такое - мы говорили вот в этой статье) в диапазоне от 37 до 37.5 градусов по Цельсию без видимых на то причин на протяжении длительного времени (от трех недель)
  • #Кашель или подкашливание (особенно, если вы не курите)
  • Любые неожиданные «вкрапления» в мокроте при отхаркивании (особенно «ржавые»)
  • Потеря веса (особенно если вы не на диете и едите как обычно)
  • Усталость, слабость, упадок сил («чахотка» не от слова «чихать», а от слова «чахнуть»)
  • Избыточная потливость (особенно ночью)
Инфографика позаимствована с сайта Роспотребнадзора
Инфографика позаимствована с сайта Роспотребнадзора

Что делать?⠀

  1. Ни в коем случае - не паниковать. Всё может быть совсем не тем, чем кажется. На то во врачебном мире и придуман «дифференциальный диагноз»
  2. Обратиться к терапевту. Рассказать все симптомы «как на духу». Ничего не скрывать. Рассказать о своём подозрении. Лучше, как известно, «перебдеть, чем недобдеть»
  3. Пройти флюорографию. Это почти гарантированный способ выяснить - туберкулёз у вас или нет.

Предупреждены - значит вооружены. Берегите себя и своих близких. И будьте непременно здоровы!

ЧИТАЙТЕ ТАКЖЕ:

  • Что брать с собой в больницу (список)
  • А знаете, как зарождается ПНЕВМОНИЯ?
  • Когда белки сворачиваются?
  • Что такое лихорадка?

____________________

Понравилась статья? Не поленитесь, и поставьте, пожалуйста, лайк. Я же для вас не поленился её написать ;) А ещё - обязательно подпишитесь, чтобы не пропускать новые статьи.

Ну, а список всех ранее опубликованных статей, разбитых по медицинским направлениям, вы можете найти вот здесь