Найти в Дзене
РИАМО

Подмосковные врачи прооперировали 2‑летнего ребенка, сломавшего ногу на батутах

РИАМО - 16 янв. Подмосковные врачи прооперировали двухлетнего мальчика, который сломал ногу, прыгая на батутах, сообщает пресс-служба регионального Минздрава. В Московскую областную детскую клиническую травматолого-ортопедическую больницу (МОДКТОБ) поступил 2-летний ребенок с жалобами на отек и деформацию правого бедра. Врачи диагностировали у него закрытый перелом бедренной кости со смещением отломков. Травму пациент получил, прыгая на батутах. «Мы провели успешное хирургическое лечение. В ходе операции были сопоставлены и фиксированы все отломки кости в анатомически верное положение. После срастания перелома установленные металлические конструкции, соединяющие сломанную кость, будут удалены», - рассказал главный врач МОДКТОБ Александр Григорьев. По словам врача, физическая активность — это замечательно, но при соблюдении правил безопасности. На данный момент ребенок чувствует себя хорошо и уже выписан. Ранее губернатор Московской области Андрей Воробьев подчеркивал приоритетность под
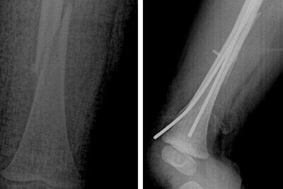
   Рентгеновский снимок © Пресс-служба Министерства здравоохранения Московской области
Рентгеновский снимок © Пресс-служба Министерства здравоохранения Московской области

РИАМО - 16 янв. Подмосковные врачи прооперировали двухлетнего мальчика, который сломал ногу, прыгая на батутах, сообщает пресс-служба регионального Минздрава.

В Московскую областную детскую клиническую травматолого-ортопедическую больницу (МОДКТОБ) поступил 2-летний ребенок с жалобами на отек и деформацию правого бедра. Врачи диагностировали у него закрытый перелом бедренной кости со смещением отломков. Травму пациент получил, прыгая на батутах.

«Мы провели успешное хирургическое лечение. В ходе операции были сопоставлены и фиксированы все отломки кости в анатомически верное положение. После срастания перелома установленные металлические конструкции, соединяющие сломанную кость, будут удалены», - рассказал главный врач МОДКТОБ Александр Григорьев.

По словам врача, физическая активность — это замечательно, но при соблюдении правил безопасности.

На данный момент ребенок чувствует себя хорошо и уже выписан.

Ранее губернатор Московской области Андрей Воробьев подчеркивал приоритетность поддержки первичного звена в здравоохранении. Он отмечал, что ведется большая работа по привлечению медиков в Подмосковье.

Кроме того, губернатор говорил о том, что власти уделяют особое внимание сотрудничеству с врачами и стараются прислушиваться к их предложениям.

Будь в курсе! Подписывайся на Telegram-канал РИАМО.