Найти в Дзене
Dia

Ротация крючковидного отростка и дополнительные соустья пазух на КТ придаточных пазух носа

Консультативное заключение по представленным КТ-томограммам пациента М, 37 лет. Выполнено исследование: компьютерная томография придаточных пазух носа с последующей реконструкцией в трех плоскостях и в объеме. Контрастное усиление: не проводилось. В "костном" и "мягкотканном" окне определяются следующие изменения: Верхнечелюстные пазухи: Правая: слизистая не утолщена, патологического содержимого не определяется, гайморо-назальное соустье прослеживается. Имеется 2 дополнительных соустья диаметром до 1 мм, открывающиеся в средний носовой ход. Левая: слизистая не утолщена, патологического содержимого не определяется, гайморо-назальное соустье прослеживается. Имеется дополнительное соустье диаметром 3,5 мм, открываютщееся в средний носовой ход. Клиновидная пазуха: слизистая не утолщена, сфеноназальное соустье справа прослеживается, слева закрыто костной перегородкой. Минимальное утолщение слизистой оболочки до 3,5 мм в левом клиновидном синусе. Ячейки решетчатой пазухи: в ячейках содержи
Оглавление

Консультативное заключение по представленным КТ-томограммам пациента М, 37 лет.

Выполнено исследование: компьютерная томография придаточных пазух носа с последующей реконструкцией в трех плоскостях и в объеме.

Контрастное усиление: не проводилось.

В "костном" и "мягкотканном" окне определяются следующие изменения:

Верхнечелюстные пазухи:

Правая: слизистая не утолщена, патологического содержимого не определяется, гайморо-назальное соустье прослеживается. Имеется 2 дополнительных соустья диаметром до 1 мм, открывающиеся в средний носовой ход.

Дополнительное соустье правой ВЧП
Дополнительное соустье правой ВЧП

Левая: слизистая не утолщена, патологического содержимого не определяется, гайморо-назальное соустье прослеживается. Имеется дополнительное соустье диаметром 3,5 мм, открываютщееся в средний носовой ход.

Компьютерная томография околоносовых пазух. Дополнительное соустье левой гайморовой пазухи.
Компьютерная томография околоносовых пазух. Дополнительное соустье левой гайморовой пазухи.

Клиновидная пазуха:

слизистая не утолщена, сфеноназальное соустье справа прослеживается, слева закрыто костной перегородкой. Минимальное утолщение слизистой оболочки до 3,5 мм в левом клиновидном синусе.

Клиновидный синус на КТ околоносовых пазух.
Клиновидный синус на КТ околоносовых пазух.

Ячейки решетчатой пазухи:

в ячейках содержимого не определяется, слизистая не утолщена, выводные протоки не сужены.

Лобные пазухи:

воздушны с обеих сторон, содержимого в полости пазух не определяется, фронтоназальные соустья прослеживаются.

Полость носа:

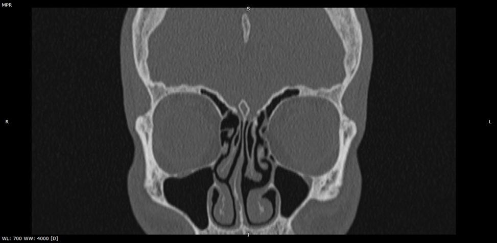
слизистая не утолщена с обеих сторон, носовые раковины обычной формы. Правый носовой ход сужен вследствие дугообразного искривление носовой перегородки вправо до 4,5 мм. Имеется медиальная ротация левого крючковидного отростка.

Медиальная ротация левого крючковидного отростка на КТ придаточных пазух носа.
Медиальная ротация левого крючковидного отростка на КТ придаточных пазух носа.

Височные кости (в объеме сканирования):

пневматизация ячеек сосцевидного отростка не снижена с обеих сторон, содержимого в ячейках не определяется, слуховые косточки дифференцируются; в барабанной полости воздух. Улитка и полукружные каналы без особенностей. Внутренний слуховой проход справа и слева не расширен, симметричен.

Головной мозг:

достоверно не оценить – не тот режим сканирования.

Костные структуры: костно-деструктивных изменений на исследованном уровне не выявлено.

Заключение: Медиальная ротация левого крючковидного отростка. Дополнительные соустья верхнчелюстных пазух. Обтурация правого сфеноназального соустья. Минимальное утолщение слизистой оболочки левой клиновидной пазухи.

Врач рентгенолог: Алиев А.Н.

📲 Закажите удаленное описание КТ околоносовых пазух и получите расшифровку