Добавить в корзинуПозвонить
Найти в Дзене
Ponzirus

Пироплазмоз у собак.

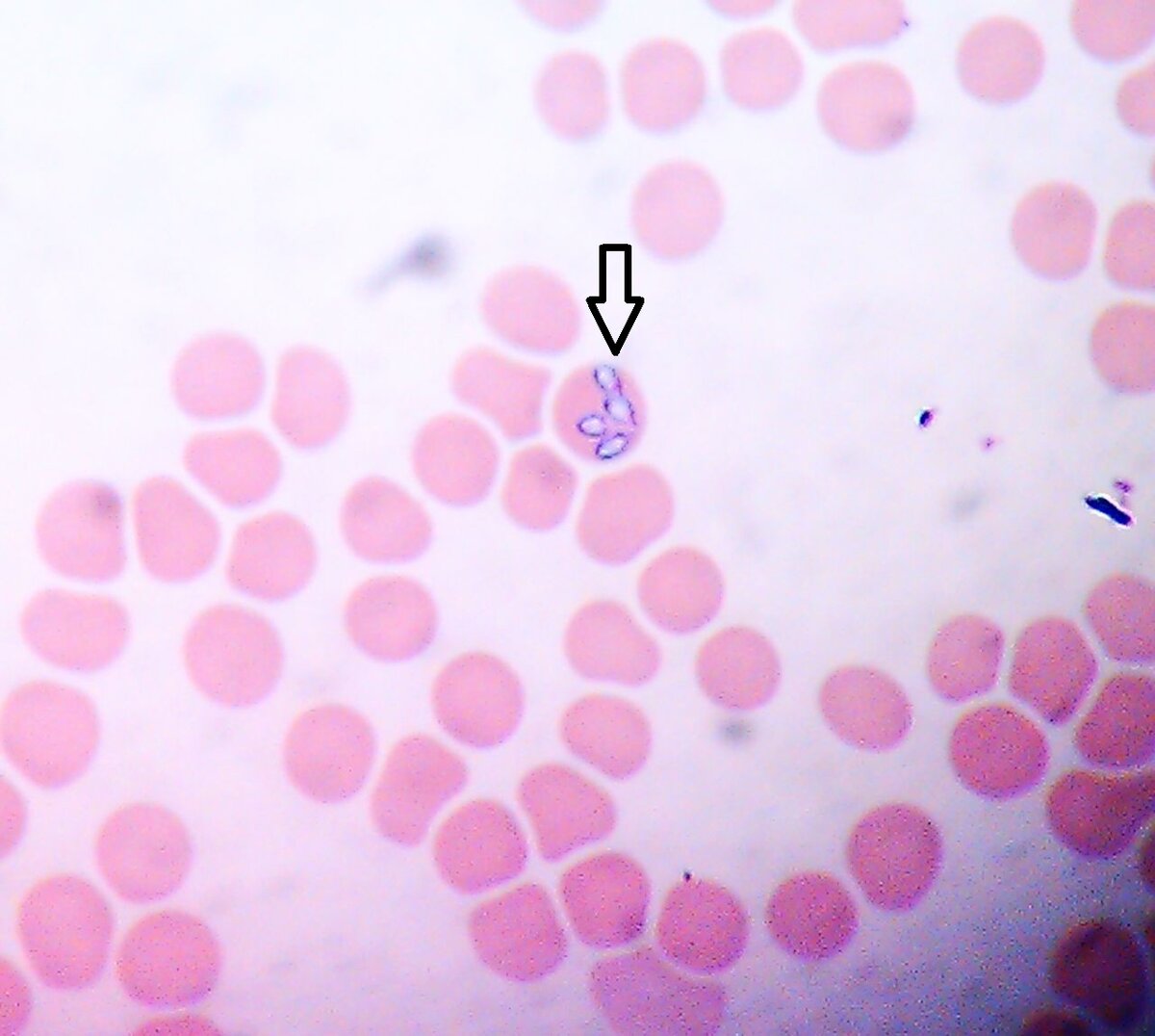
Сейчас уже многие владельцы собак выдохнули с облегчением. Пришли морозы. Все клещи должны уже спать и можно безопасно гулять. Но не стоит так радоваться. Лучше перестраховаться. Снежный покров не устойчивый, да и положительная температура днем бывает. А еще нужно взять во внимание тот факт, что клещи на теплотрассах не спят, ровно как могут не спать и в подъездах ( если их туда каким-либо образом занесло). Это конечно редклсть, но все же случается. Сами клещи не несут большой угрозы. Их принцип очень прост- поел и отвалился. Но они являются переносчиками трансмиссивных заболеваний у собак, кошек и других теплокровных. Знакомьтесь! Бабезиоз, или пироплазмоз, или babesia canis. Пироплазмоз попадает в организм собаки после укуса клеща. Сама собака является промежуточным хозяином, в крови которого происходит бесконтрольное размножение простейших микроорганизмов в эритроците. Сам процесс довольно прост. Бабезия за счет хозяина питается и делиться в эритроците. Когда микроорганизмов стан

Сейчас уже многие владельцы собак выдохнули с облегчением. Пришли морозы. Все клещи должны уже спать и можно безопасно гулять.

Но не стоит так радоваться. Лучше перестраховаться. Снежный покров не устойчивый, да и положительная температура днем бывает. А еще нужно взять во внимание тот факт, что клещи на теплотрассах не спят, ровно как могут не спать и в подъездах ( если их туда каким-либо образом занесло). Это конечно редклсть, но все же случается.

Сами клещи не несут большой угрозы. Их принцип очень прост- поел и отвалился. Но они являются переносчиками трансмиссивных заболеваний у собак, кошек и других теплокровных.

Знакомьтесь! Бабезиоз, или пироплазмоз, или babesia canis.

Фото взято из открытых источников
Фото взято из открытых источников

Пироплазмоз попадает в организм собаки после укуса клеща. Сама собака является промежуточным хозяином, в крови которого происходит бесконтрольное размножение простейших микроорганизмов в эритроците.

Сам процесс довольно прост. Бабезия за счет хозяина питается и делиться в эритроците. Когда микроорганизмов становится много- эритроцит разрушается, а освобожденные пироплазмы внедряются в свободные эритроциты. Размножение происходит в геометрической прогрессии. За сутки их количество может быть увеличено в несколько десятков раз.

Что касается симптомов, то они могут быть классическими или смазанными, неспецифическими. В весенний период чаще всего классика: высокая температура, слабость конечностей, желтушность. В осенний период таких симптомов может и не быть. Я часто осенью нахожу бабезии при рутинном исследовании или по косвенным признакам ( увеличена селезенка на УЗИ, субфибрильная температура, сниженный аппетит и аппатия без других признаков).

А лечение обычно заключается в поддерживающей терапии и в приеме противопаразитарных препаратах. Конечно же все индивидуально и зависит от того, на сколько все запущенно. Может быть даже летальный исход.

Лучше всего конечно проводить профилактику, даде если на улице холодно. Благо препаратов много. Для собак очень хорошо зарекомендовал себя препарат Бравекто. С выходом этого препарата поток пациентов с пироплазмозом сократился примерно на 80%.

А какими препаратами обрабатываете вы своих питомцев?