Добавить в корзинуПозвонить
Найти в Дзене

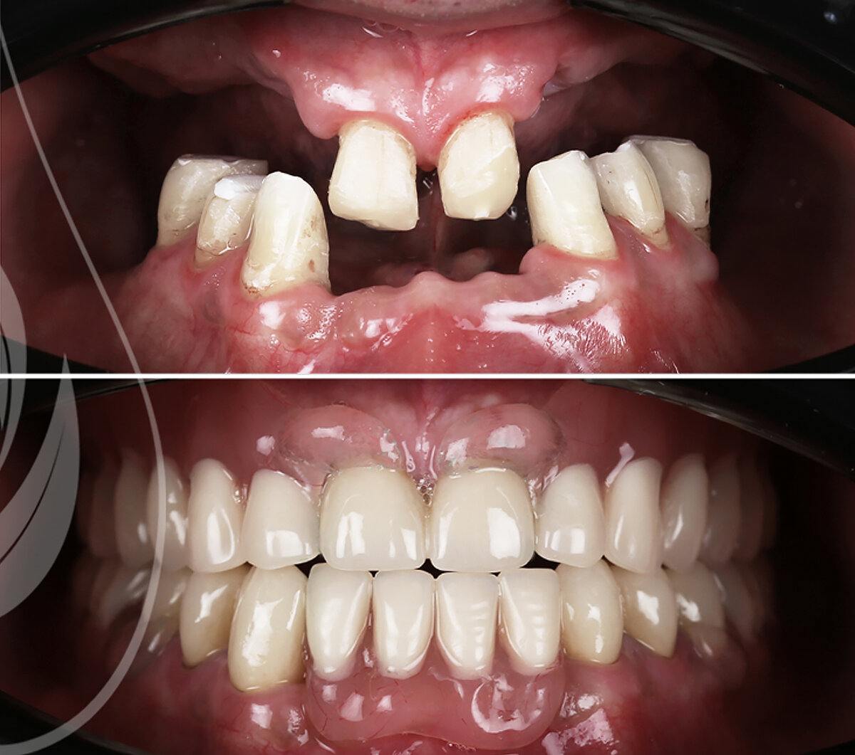
⁣Снова жуёт! 👍 Клинический случай из практики Калугина И.С.⠀

К Игорю Сергеевичу Калугину обратился пациент с жалобами на невозможность пережевывания пищи 😶, нарушение эстетики и боли в височно-нижнечелюстном суставе (ВНЧС). В результате проведенного лечения были восстановлены фронтальная и боковая группы зубов с помощью металлокерамических коронок и гибких частичных съемных протезов. Длительность лечения – 1 месяц. Теперь пациент легко и без боли может пережевывать даже твердую пищу, а зубной ряд выглядит ровным и аккуратным! 😃 ⠀ Фото зубного ряда до и после лечения – в на слайдах 👆⠀ #стоматологортопед #протезированиезубов #зубныепротезы #металлокерамическиекоронки #частичныесъемныепротезы #Звенигород #КлиникаЗдоровьяИсток

К Игорю Сергеевичу Калугину обратился пациент с жалобами на невозможность пережевывания пищи 😶, нарушение эстетики и боли в височно-нижнечелюстном суставе (ВНЧС).

В результате проведенного лечения были восстановлены фронтальная и боковая группы зубов с помощью металлокерамических коронок и гибких частичных съемных протезов.

Длительность лечения – 1 месяц.

Теперь пациент легко и без боли может пережевывать даже твердую пищу, а зубной ряд выглядит ровным и аккуратным! 😃 ⠀

Фото зубного ряда до и после лечения – в на слайдах 👆⠀

-2
-3
-4

#стоматологортопед #протезированиезубов #зубныепротезы #металлокерамическиекоронки #частичныесъемныепротезы #Звенигород #КлиникаЗдоровьяИсток