Добавить в корзинуПозвонить
Найти в Дзене
Тётя Таня

Жизнь после сигарет; - все становится только лучше

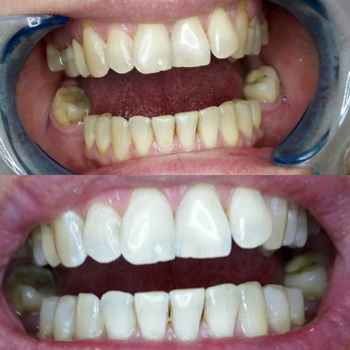
Всё, я её бросила, последнюю сигарету, вредную привычку! Я свободна! О том, как я бросила курить, в предыдущей статье. Первые дни почти никаких изменений, кроме гордости за то, что смогла, мотивировала себя хвалебными одами себе. Перестала болеть голова по утрам , постепенно ощущение во рту стали приятными, нет этого острого запаха, кашель с утра перестал беспокоить. Прошёл месяц, стала чувствовать запахи более ярко, минус этого только один - плохие запахи тоже стали ярче). Пошла в стоматологию на процедуру отбеливания зубов, теперь можно и нужно, ведь я больше не курю! Как раз хватило сэкономленных денег, я больше не покупаю сигарет. Улыбка в зеркале стала радовать ещё больше! Состояние кожи стало улучшаться, землистый цвет лица ушёл, о чудо, у меня есть румянец и я могу хорошо выглядеть, без тонального крема. Через год стал приходить лишний вес, у кого то он приходит сразу при отказе от курения. Это меня не испугало, немного скорректировала питание, побольше воды и движения.

Всё, я её бросила, последнюю сигарету, вредную привычку! Я свободна! О том, как я бросила курить, в предыдущей статье.

Первые дни почти никаких изменений, кроме гордости за то, что смогла, мотивировала себя хвалебными одами себе. Перестала болеть голова по утрам , постепенно ощущение во рту стали приятными, нет этого острого запаха, кашель с утра перестал беспокоить. Прошёл месяц, стала чувствовать запахи более ярко, минус этого только один - плохие запахи тоже стали ярче). Пошла в стоматологию на процедуру отбеливания зубов, теперь можно и нужно, ведь я больше не курю! Как раз хватило сэкономленных денег, я больше не покупаю сигарет. Улыбка в зеркале стала радовать ещё больше!

@Тётя Таня
@Тётя Таня

Состояние кожи стало улучшаться, землистый цвет лица ушёл, о чудо, у меня есть румянец и я могу хорошо выглядеть, без тонального крема.

@Тётя Таня
@Тётя Таня

Через год стал приходить лишний вес, у кого то он приходит сразу при отказе от курения. Это меня не испугало, немного скорректировала питание, побольше воды и движения. Вес встал, но пока не уходит. Но если положить на чашу весов курить или лишний вес, я выберу второе. От лишнего веса можно избавиться , а вот от последствий курения избавиться нельзя, проблемы с легкими, с зубами, с иммунной системой , вообщем всё то, что пишут на пачках сигарет. И даже такой диагноз, как рак, не пугает заядлых курильщиков, каждый думает, что его это не коснётся.

Бросать курить не легко, но бросив я стала счастливым человеком, более здоровым, более красивым, не зависимым, гордым за себя! И чего и всем желаю, бросайте курить пока не поздно!