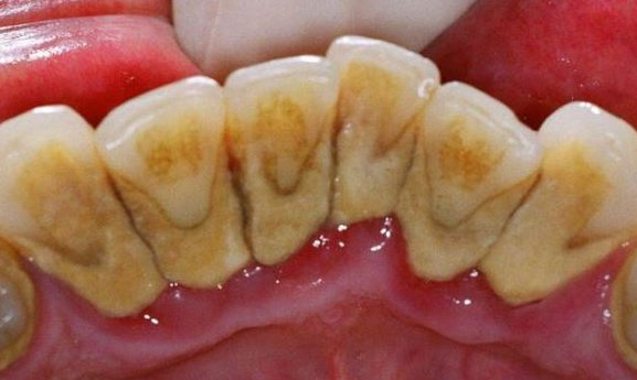
Очень важно чистить зубы как минимум два раза в день , потому что зубной налет начинает образовываться на зубах уже через несколько часов после их чистки. Если на зубах уже существуют некие стойкие формы зубной бляшки, то она только увеличится в размере, и также по истечении 12 часов очистить зубной камень обыкновенной зубной щеткой будет уже проблематично. Можно попробовать почистить зубы зубной пастой, припудренной содой, если на зубе уже образовались пигментированные (коричневатые) пятна. Еще можно аккуратно потереть пигментное пятнышко на зубе размозжонным кончиком деревянной зубочистки, перед этим предварительно окунув кисточку в питьевую соду. Нужно делать это осторожно, не повредив десну. Зуб при этом вновь может стать белым. Кислоты и прочие химикалии не в коем случае, для отбеливания зубов применять не стоит. Если же все приведенные выше методы не дают положительного результата, то нужно обратиться к врачу для их удаления. Лечение зубного камня состоит только в его удалении, и
