Добавить в корзинуПозвонить
Найти в Дзене
Sonoace Ultrasound

УЗИ легких при COVID-19, клинический пример

У 20-летнего мужчины возникла боль в горле и сухой кашель, которые сопровождались лихорадкой и одышкой в течение четырех дней. В день поступления в стационар у пациента не было признаков нарастания дыхательной недостаточности. Исходное насыщение крови кислородом при самостоятельном дыхании в помещении отделения неотложной помощи составило 95 %. Лабораторные анализы показали отсутствие значительного повышения ключевых показателей. Согласно больничному протоколу, была сделана базовая рентгенография грудной клетки и дополнительное УЗИ легких. Рентгенография грудной клетки не показала типичных признаков пневмонии COVID-19 (рис. 1). Ультразвуковое исследование выполнено портативным аппаратом Samsung HM70A с конвексным CA1-7AD и линейным LA3-16AD датчиками, непосредственно в отделении неотложной помощи. Представленные ниже результаты УЗИ хорошо коррелируют с результатами рентгенографии грудной клетки (рис. 2, A-D). Таким образом, отсутствовали типичные ультразвуковые признаки пневмонии при

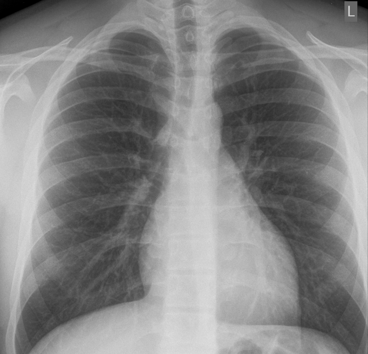
У 20-летнего мужчины возникла боль в горле и сухой кашель, которые сопровождались лихорадкой и одышкой в течение четырех дней. В день поступления в стационар у пациента не было признаков нарастания дыхательной недостаточности. Исходное насыщение крови кислородом при самостоятельном дыхании в помещении отделения неотложной помощи составило 95 %. Лабораторные анализы показали отсутствие значительного повышения ключевых показателей. Согласно больничному протоколу, была сделана базовая рентгенография грудной клетки и дополнительное УЗИ легких. Рентгенография грудной клетки не показала типичных признаков пневмонии COVID-19 (рис. 1).

Рис. 1. На исходной рентгенограмме грудной клетки нет снижения прозрачности; типичных признаков пневмонии COVID-19 не обнаружено.
Рис. 1. На исходной рентгенограмме грудной клетки нет снижения прозрачности; типичных признаков пневмонии COVID-19 не обнаружено.

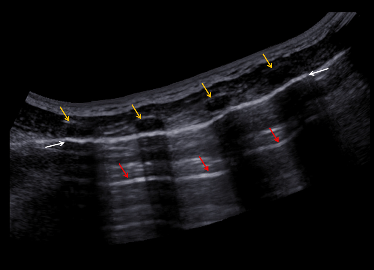
Ультразвуковое исследование выполнено портативным аппаратом Samsung HM70A с конвексным CA1-7AD и линейным LA3-16AD датчиками, непосредственно в отделении неотложной помощи. Представленные ниже результаты УЗИ хорошо коррелируют с результатами рентгенографии грудной клетки (рис. 2, A-D).

  • С помощью линейного датчика, морфологические изменения в субплевральных участках легких не были обнаружены.
  • При использовании конвексного датчика изменения содержания воздуха и жидкости в легких, косвенного признака консолидации легочных тканей, и симптом «воздушной бронхограммы» не обнаружены.
  • Диагностика заболевания легких основана на артефактах поражения легочной ткани. Наличие A-линий и отсутствие B-линий является косвенным признаком здорового легкого без какой-либо периферической консолидации или отека легких.
  • Динамическое обследование межреберных мышц продемонстрировало нормальную картину во время вдоха и выдоха. Не обнаружено утолщения и неровности плевральной линии в процессе визуализации нормального скольжения листков плевры.

Таким образом, отсутствовали типичные ультразвуковые признаки пневмонии при COVID-19. Через 5 часов пришли результаты мазка на SARS-CoV2, тест был отрицательным.

Рис. 2A. На панорамном ультразвуковом изображении видна стенка грудной клетки и плевра (ребра: желтые стрелки, плевра: белые стрелки). А-линии это яркие горизонтальные линии глубже плевральной линии (красные стрелки). A-линии - классический артефакт реверберации.
Рис. 2A. На панорамном ультразвуковом изображении видна стенка грудной клетки и плевра (ребра: желтые стрелки, плевра: белые стрелки). А-линии это яркие горизонтальные линии глубже плевральной линии (красные стрелки). A-линии - классический артефакт реверберации.
Рис. 2Б. Ультразвуковое изображение, демонстрирующее плевру (белые стрелки) и А-линии (красные стрелки) с использованием конвексного датчика.ис. 2С. Визуализация плевры (белая стрелка) и A-линий (красная стрелка) с помощью высокочастотного линейного датчика. Признаки консолидации легочной ткани отсутствуют. Наличие А-линий является косвенным признаком здорового легкого без каких-либо периферических уплотнений или отека легких.
Рис. 2Б. Ультразвуковое изображение, демонстрирующее плевру (белые стрелки) и А-линии (красные стрелки) с использованием конвексного датчика.ис. 2С. Визуализация плевры (белая стрелка) и A-линий (красная стрелка) с помощью высокочастотного линейного датчика. Признаки консолидации легочной ткани отсутствуют. Наличие А-линий является косвенным признаком здорового легкого без каких-либо периферических уплотнений или отека легких.
Рис. 2С. Визуализация плевры (белая стрелка) и A-линий (красная стрелка) с помощью высокочастотного линейного датчика. Признаки консолидации легочной ткани отсутствуют. Наличие А-линий является косвенным признаком здорового легкого без каких-либо периферических уплотнений или отека легких.
Рис. 2С. Визуализация плевры (белая стрелка) и A-линий (красная стрелка) с помощью высокочастотного линейного датчика. Признаки консолидации легочной ткани отсутствуют. Наличие А-линий является косвенным признаком здорового легкого без каких-либо периферических уплотнений или отека легких.
Рис. 2D. Визуализация ребер (желтые стрелки), плевры (белая стрелка) и A-линий (красная стрелка) с использованием конвексного датчика. Признаки периферической консолидации или отека легкого отсутствуют.
Рис. 2D. Визуализация ребер (желтые стрелки), плевры (белая стрелка) и A-линий (красная стрелка) с использованием конвексного датчика. Признаки периферической консолидации или отека легкого отсутствуют.

Материал любезно предоставил врач клиники Мюнхенского университета, проф. Дирк-Андре Клеверт.