Добавить в корзинуПозвонить
Найти в Дзене

Операции быть

Всем доброго дня! Вчера я была на приёме у стоматолога. Надеялась, что будем лечить верхнюю семёрку. Но, увы, этот зуб возможно придётся удалять. У меня совершенно неправильный прикус - глубокий, да ещё и перекрестный. Это нельзя исправить брекетами и прочими накладками. Здесь нужна операция. Называется она остеотомия нижней челюсти. Суть её в том, что челюсть "ломают" и ставят на место с помощью титановых пластин. Буду как Терминатор😅 Делается все под местной анестезией. Врач посоветовал мне ещё одно место в Москве, где мне могут помочь. Операция довольно дорогая (от 200тр), но ее можно сделать по квоте (если кто получал такую квоту или делал подобную операцию, напишите, пожалуйста, как это все происходило конкретно у вас). Только подождать нужно будет около года. За этот год нужно успеть решить вопрос с оставшиеся зубами и накопить денег на различные МРТ, пребывание в больнице и прочее. Единственное чего немного боюсь, почитав отзывы прошедших через подобную операцию, что от на

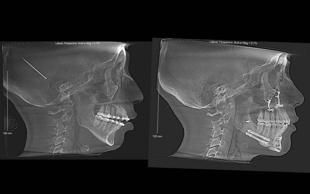
Всем доброго дня!

Вчера я была на приёме у стоматолога. Надеялась, что будем лечить верхнюю семёрку. Но, увы, этот зуб возможно придётся удалять. У меня совершенно неправильный прикус - глубокий, да ещё и перекрестный. Это нельзя исправить брекетами и прочими накладками. Здесь нужна операция. Называется она остеотомия нижней челюсти.

Суть её в том, что челюсть "ломают" и ставят на место с помощью титановых пластин. Буду как Терминатор😅

Делается все под местной анестезией.

Фото из интернета
Фото из интернета

Врач посоветовал мне ещё одно место в Москве, где мне могут помочь. Операция довольно дорогая (от 200тр), но ее можно сделать по квоте (если кто получал такую квоту или делал подобную операцию, напишите, пожалуйста, как это все происходило конкретно у вас). Только подождать нужно будет около года. За этот год нужно успеть решить вопрос с оставшиеся зубами и накопить денег на различные МРТ, пребывание в больнице и прочее.

Единственное чего немного боюсь, почитав отзывы прошедших через подобную операцию, что от наркоза долго отходят и может чувствительность губ или подбородка пропасть.

Также, по возможности, хотелось бы все же сделать импланты. Дорого, но зато надолго. Да и в 31 год как-то это правильнее будет, так как если делать протезирование, то потом будут проблемы с деснами под протезом. На них не будет нагрузки и это не есть хорошо. Если делать имплантацию, то нагрузка будет на всю челюсть. Да и эстетически это красивее. Единственный минус - стоимость.

Но ничего, прорвёмся. Сегодня в рабочий чат пришло сообщение, что с 15 июня, скорее всего, мы вернёмся в прежний режим работы. Ну и, конечно же, зарплата от этого вырастит. А значит есть все шансы двигаться дальше к своей цели - красивой улыбке!

Очень жду возвращения в прежний ритм жизни. Вождение, тренировки, работа, кафе, салоны красоты, всякие мои женские хотелки - все это хочу!

И все это будет, я верю!