Найти в Дзене

Вывих зуба и как его лечат

Вывихи происходят в результате травмы, удара или давления.
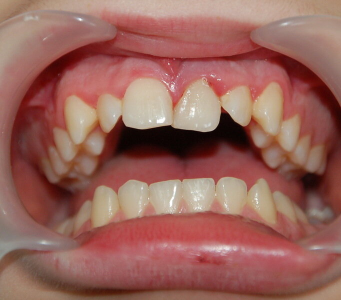
Существует три вида вывихов зуба — частичный, полный и вколоченный. При полном вывихе разрываются соединительные ткани удерживающие зуб на своём месте в результате чего зуб выпадает из лунки с обильным кровотечением и сильной болью. Повреждения могут быть настолько серьёзными, что может потребоваться госпитализация. Однако при немедленном обращении к стоматологу (не позднее часа после травмы) возможна реплантация зуба, то есть выпавший зуб можно вставить в лунку и он прирастёт, для этого его необходимо поместить в флакон с молоком и в таком виде доставить к стоматологу. Вколоченный вывих характеризуется тем, что во время травмы зуб вколачивается и уходит глубоко в лунку и визуально становится короче. Эта травма сопровождается опухолью и кровотечением. Необходимо срочное обращение к стоматологу. При частичном вывихе зуба наблюдается надрыв периодонтальных волокон, зуб шатается, часто происходит смещение коронковой и корневой ча

Вывихи происходят в результате травмы, удара или давления.

Существует три вида вывихов зуба — частичный, полный и вколоченный.

При полном вывихе разрываются соединительные ткани удерживающие зуб на своём месте в результате чего зуб выпадает из лунки с обильным кровотечением и сильной болью. Повреждения могут быть настолько серьёзными, что может потребоваться госпитализация. Однако при немедленном обращении к стоматологу (не позднее часа после травмы) возможна реплантация зуба, то есть выпавший зуб можно вставить в лунку и он прирастёт, для этого его необходимо поместить в флакон с молоком и в таком виде доставить к стоматологу.

Вколоченный вывих характеризуется тем, что во время травмы зуб вколачивается и уходит глубоко в лунку и визуально становится короче. Эта травма сопровождается опухолью и кровотечением. Необходимо срочное обращение к стоматологу.

При частичном вывихе зуба наблюдается надрыв периодонтальных волокон, зуб шатается, часто происходит смещение коронковой и корневой частей в противоположные стороны. Образуются глубокие периодонтальные карманы, которые могут кровоточить. Сильная боль при надавливании и жевании.

В этом случае для того что бы спасти зуб так же необходимо срочное обращение к стоматологу.