Найти в Дзене
Юлия Селютина

Молочный зуб выпал, а постоянного нет: что делать?

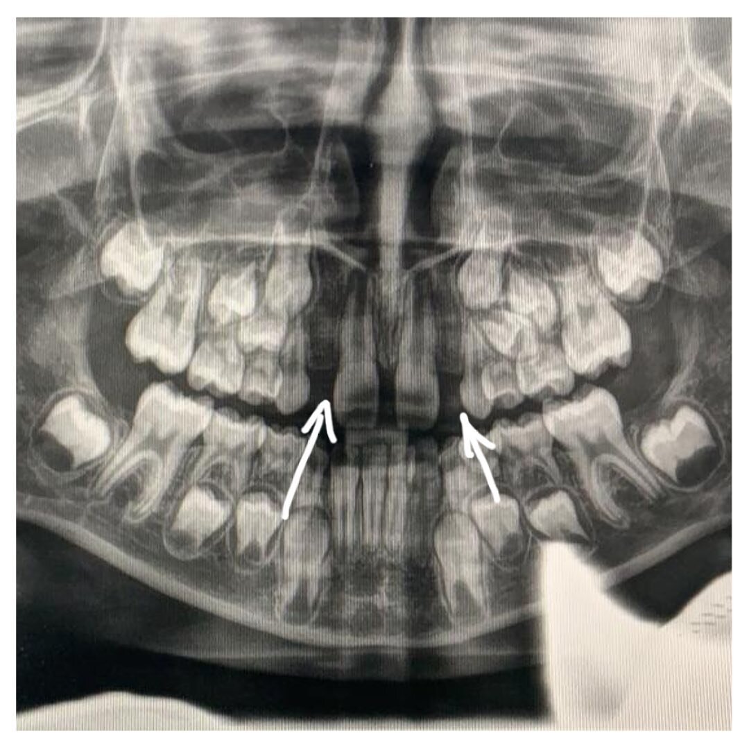
Молочные были, а постоянных нет. Как это случилось и что теперь делать? Об этом вам расскажет лечащий врач, ортодонт Оксана Журавская . Пациентке 7 лет. Ранее она лечилась в государственной клинике, теперь пришла в #ЦентрСелютиной. А произошло вот что: молочные боковые резцы на верхней челюсти выпали, а постоянные никак не растут. Долго ждать их не стали и пришли к нам. К слову, до этого девочке ни разу не делали общий панорамный снимок всех челюстей (ОПТГ). Поэтому и не знали, что зачатков постоянных резцов нет и ждать их появления бессмысленно. Почему это произошло, возможные причины: 1. Наследственный фактор; 2. Болезни матери в 1 или 3 триместрах беременности; 3. Прием антибиотиков во время беременности; 4. Болезни ребенка до 1 года. Какое лечение назначено? ✔Изготовлена пластинка-протез, которая будет замещать боковые резцы; ✔Так мы будем сохранять место в области отсутствующих зубов, чтобы соседние не сползли в образовавшуюся пустоту; ✔Расширяем верхнюю челюсть, т.к. есть суже

Молочные были, а постоянных нет.

Как это случилось и что теперь делать?

Об этом вам расскажет лечащий врач, ортодонт Оксана Журавская .

Пациентке 7 лет.

Ранее она лечилась в государственной клинике, теперь пришла в #ЦентрСелютиной.

А произошло вот что: молочные боковые резцы на верхней челюсти выпали, а постоянные никак не растут.

Долго ждать их не стали и пришли к нам.

К слову, до этого девочке ни разу не делали общий панорамный снимок всех челюстей (ОПТГ).

Поэтому и не знали, что зачатков постоянных резцов нет и ждать их появления бессмысленно.

Почему это произошло, возможные причины:

1. Наследственный фактор;

2. Болезни матери в 1 или 3 триместрах беременности;

3. Прием антибиотиков во время беременности;

4. Болезни ребенка до 1 года.

Какое лечение назначено?

✔Изготовлена пластинка-протез, которая будет замещать боковые резцы;

✔Так мы будем сохранять место в области отсутствующих зубов, чтобы соседние не сползли в образовавшуюся пустоту;

✔Расширяем верхнюю челюсть, т.к. есть сужение и скученность на нижней;

✔В 20 лет будет проведена имплантация и установлены коронки (ранее нельзя).

ИМЕЮТСЯ ПРОТИВОПОКАЗАНИЯ. НЕОБХОДИМА КОНСУЛЬТАЦИЯ СПЕЦИАЛИСТА.