Добавить в корзинуПозвонить
Найти в Дзене
Brief retelling

Как сохранить зубы здоровыми?

Как сохранить зубы здоровыми? Все мы знаем, что поход к стоматологу порой обходится кругленькую сумму, плюс к этому панический страх перед врачом (из-за чего откладываем поход к стоматологу, пока не начнутся осложнения и боль станет нестерпимой) и болевые ощущения в ходе лечения. Поэтому лучшим средством будет правильная профилактика полости рта. Интересный факт, что большинство людей в нашей стране не умеют правильно чистить зубы. При чистке зубов движения зубной щетки проводят горизонтально зубному ряду, тем самым ,,разнося,, микроорганизмы вперед назад, что не несет никакой пользы. Правильно будет делать вертикальные движения, будто бы вы выметаете весь налет с зубов, начиная сверху вниз. Так же при горизонтальных движениях может произойти клиновидный дефект, и при сильном надавливании зубной щетки повышенная стираемость эмали. Так же распространённой ошибкой является: -недостаточное время чистки зубов (всегда спешим куда-нибудь) -прополаскивание полости рта сразу же после

Как сохранить зубы здоровыми?

Все мы знаем, что поход к стоматологу порой обходится кругленькую сумму, плюс к этому панический страх перед врачом (из-за чего откладываем поход к стоматологу, пока не начнутся осложнения и боль станет нестерпимой) и болевые ощущения в ходе лечения.

Поэтому лучшим средством будет правильная профилактика полости рта.

Интересный факт, что большинство людей в нашей стране не умеют правильно чистить зубы. При чистке зубов движения зубной щетки проводят горизонтально зубному ряду, тем самым ,,разнося,, микроорганизмы вперед назад, что не несет никакой пользы.

Правильно будет делать вертикальные движения, будто бы вы выметаете весь налет с зубов, начиная сверху вниз.

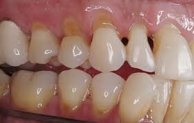
Так же при горизонтальных движениях может произойти клиновидный дефект, и при сильном надавливании зубной щетки повышенная стираемость эмали.

Вот такая не особо приятная вещь
Вот такая не особо приятная вещь

Так же распространённой ошибкой является:

-недостаточное время чистки зубов (всегда спешим куда-нибудь)

-прополаскивание полости рта сразу же после чистки зубов

Необходимо чистить зубы минимум 2 минуты, что бы фтор, содержащийся в зубной пасте, смог прореагировать с эмалью зуба и тем самым оказать на нее положительный эффект.

У профилактических паст содержание фтора составляет 950 – 1150 ppm, что необходимо для поддержания целостности наших зубов.

Берегите и ухаживайте за своими зубами и здоровьем

И помните: «Болезнь легче предупредить, чем лечить». Гиппократ