Добавить в корзинуПозвонить
Найти в Дзене
Аномальные новости.

Девушка жила с близнецом внутри себя.

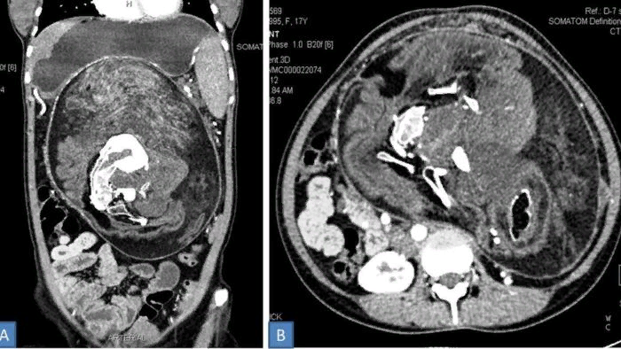
В течение почти двух десятилетий молодая женщина из Индии жила с одним из самых редких и необычных медицинских состояний. В животе пациентки находился мешок, содержащий её "близнеца". У последнего имелись волосы, зубы и даже позвоночник. Что удивительно, сама девушка о нём не подозревала. Такое состояние известно как утробный плод в плоде. Речь идёт об аномалии, при которой внутри организма одного плода имеется масса тканей, напоминающая плод. Считается, что такая аномалия возникает на раннем этапе монозиготной беременности близнецами. В это время оба плода имеют общую плаценту, и один из них "оборачивает" собой другого. В итоге завёрнутый внутрь эмбрион становится "паразитом". При этом у него не развиваются мозг и нервная система, и он способен выжить только за счёт жизнеспособного близнеца.

В течение почти двух десятилетий молодая женщина из Индии жила с одним из самых редких и необычных медицинских состояний. В животе пациентки находился мешок, содержащий её "близнеца". У последнего имелись волосы, зубы и даже позвоночник. Что удивительно, сама девушка о нём не подозревала. Такое состояние известно как утробный плод в плоде. Речь идёт об аномалии, при которой внутри организма одного плода имеется масса тканей, напоминающая плод. Считается, что такая аномалия возникает на раннем этапе монозиготной беременности близнецами. В это время оба плода имеют общую плаценту, и один из них "оборачивает" собой другого. В итоге завёрнутый внутрь эмбрион становится "паразитом". При этом у него не развиваются мозг и нервная система, и он способен выжить только за счёт жизнеспособного близнеца.

Фото с интернета.
Фото с интернета.