Добавить в корзинуПозвонить
Найти в Дзене
Онлайн стоматолог

Неприятный запах . Причины и решения проблемы.

Неприятный запах изо рта может стать серьезным барьером в общении с другими людьми. Это может явиться причиной неуверенности в себе и снизить продуктивность человека.
Не всегда причина таится в самой полости рта, поэтому важно провести дифференциальную диагностику , для обнаружения причины и ее успешного устранения.
Вот наиболее частые изменения и заболевания , которые вызывают эту отравляющую ,в

Неприятный запах изо рта может стать серьезным барьером в общении с другими людьми. Это может явиться причиной неуверенности в себе и снизить продуктивность человека.

Не всегда причина таится в самой полости рта, поэтому важно провести дифференциальную диагностику , для обнаружения причины и ее успешного устранения.

Вот наиболее частые изменения и заболевания , которые вызывают эту отравляющую ,в прямом и переносном смысле , жизнь патологию.

Я начну с самых редких причин и перейду к наиболее распространенным .

Итак, поехали:

1."Все болезни от нервов"- крылатая фраза. И здесь она тоже имеет место быть . Постоянный стресс провоцирует выработку гормонов кортизола, адреналина и норадреналина. Они повышают активность размножения микробов во рту. Если у вас серьезный затяжной нервный стресс- это может быть причиной запаха изо рта в том числе и многих других неприятных для организма состояний.

2.Недостаток воды в организме - если вы пьете мало чистой негазированной воды, много сладких напитков- ждите проблем со свежестью дыхания. Все дело в том,что сухость во рту вызывает бурный рост бактерий и пахучего налета.

3.Горький запах изо рта - возможный признак болезней почек, а устойчивый запах ацетона - частый признак диабета. Кислый запах - проблемы с желудком. Если вы замечаете частые отрыжки и изжогу - бегом к гастроэнтерологу. Хронический тонзиллит , ринит - все болезни органов, сообщающихся с полостью рта - это причина "тухлого" запаха.

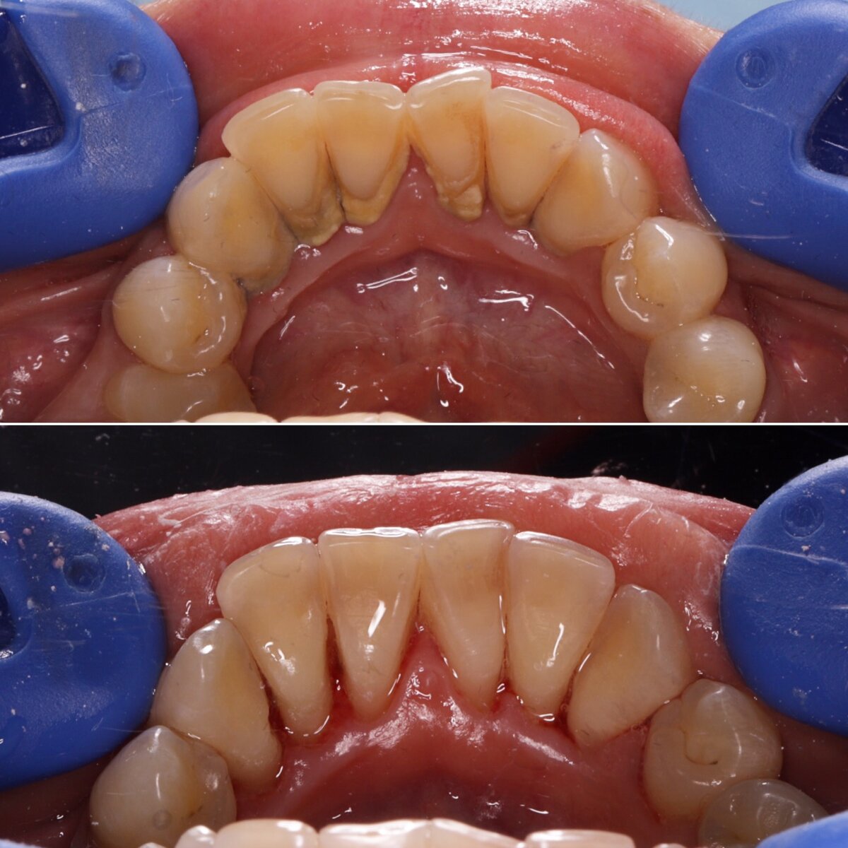
4. Конечно, самая распространенная причина - это проблема с зубами. Плохая гигиена и разрушенные зубы вызывают стойкий гнилостный запах изо рта. Попытка исправно чистить зубы не всегда ведет к успеху - профессиональная гигиена полости рта 2 раза в год верный путь решения проблемы. Зубной камень , который является жилищем для микроорганизмов , невозможно самостоятельно почистить . А поход к стоматологу необходим для обнаружения и удаления плохих зубов.

Зубной камень. Зубы до и  после профессиональной гигиены у стоматолога.
Зубной камень. Зубы до и после профессиональной гигиены у стоматолога.

-Старые , протертые или неправильно установленные коронки и протезы одни из самых частых причин сильного и стойкого запаха изо рта. Замена и коррекция избавит вас от этой неприятностей.

-Зубы мудрости- которые пытаются протиснуться в зубной ряд , но им не хватает места, создают вокруг себя карман из десны, в котором остается налет , остатки пищи и все это вызывает очень запоминающийся запах.

Если у вас эта проблема, попробуйте начать с конца этого списка и исключать или подтверждать каждый из пунктов.