Найти в Дзене

Что такое «виниры»

Ваша улыбка, когда стоят виниры.
Когда с появлением цветного кинозрители узрели прекрасную белоснежную улыбку любимой актрисы, то среди стоматологов начался бум отбеливаний и созданий новых вариантов для улучшения эстетики зубов. Одним их ведущих методов, на сегодняшний день, является постановка тонких накладок на вои же зубы.
Виниры (англ. Veneer - покрывать слоем) - накладки на внешнюю часть

Ваша улыбка, когда стоят виниры.
Ваша улыбка, когда стоят виниры.

Когда с появлением цветного кинозрители узрели прекрасную белоснежную улыбку любимой актрисы, то среди стоматологов начался бум отбеливаний и созданий новых вариантов для улучшения эстетики зубов. Одним их ведущих методов, на сегодняшний день, является постановка тонких накладок на вои же зубы.
Виниры (англ. Veneer - покрывать слоем) - накладки на внешнюю часть зуба, которые создаются из различного материала, и замещают слой эмали. Они позволяют корректировать нарушения конфигурации и тона зуба, а также защищают его от воздействия внешних факторов агрессии.
Способы установки
Есть два основных варианта установки:
1. Терапевтический — протез создается непосредственно в ротовой полости клиента. Не нужно точить зубы, необходимо только удаление небольшого слоя эмали. Это относительно не сложная процедура, которая не требует больших затрат по времени и огромных денег на установку.
2. Ортопедический или же непрямое протезирование — для процедуры необходима подготовка зуба, а также изготовление специального винира в лаборатории на основе зубного отпечатка пациента. Срок службы протеза в этом случае может быть от пяти до двадцать лет, но процедура установки будет дороже.

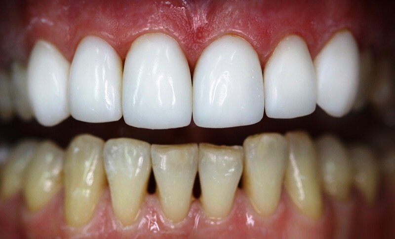
Виниры! На верхние зубы поставлены виниры. Далее будет уставка на нижнюю челюсть.
Виниры! На верхние зубы поставлены виниры. Далее будет уставка на нижнюю челюсть.

Кому ж показана постановка виниров?
Как бы там ни было, однако виниры – весьма недешевое удовольствие. Однако если у вас есть такие проблемы с зубами, то виниры являются прекрасным решением:
· Сколы и трещины на эмали зуба, который показывают эстетический дефект улыбки;
· Большая щелочка между зубами (диастема);
· Искривленный ряд зубов, который не поддается коррекции
· Пятна и потемнения поверхности зуба
Противопоказания к постановке
· Пациент — экстремал, что нередко приводит к высокой вероятности травматизации собственной челюсти;
· Имеет привычки, которые вредят зубам: есть чрезвычайно твёрдую пищу (например, орехи, семечки) и т.д.;
· Пациенты, у которых есть жалоба на скрежет зубами (бруксизм);
· Имеют большую пломбу с внутренней стороны зуба;
· Утрачены несколько жевательных зубов;
· Патология прикуса или тяжелые заболевания зубов.

Виниры! Фото до и после постановки
Виниры! Фото до и после постановки

Сама по себе установка виниров решает проблему эстетики зубов пациента, а сама проведенная процедура помогает почувствовать себя намного увереннее и спокойнее в обществе. Также они могут прослужить для вас долгую службу, радуя белоснежной идеальной улыбкой каждый день.

И помните "ваша улыбка золото".

Благодарю за внимание!