Найти в Дзене

ЗАМЕНА СУСТАВА ПОЗАДИ. ЧТО ДАЛЬШЕ?

Да, что дальше? Как в песне - «Билли встал, и пошёл»? Почему бы и нет? Сустав-то искусственный, он не болит. А выясняется, что и болит, и вообще всё непросто, и темпы реабилитации у всех разные, и боль разная, и отек, температура, движения - всё разное. Почему?
И вот тут начинается самое интересное. Многие люди искренне уверены, что всё, вообще всё в послеоперационном периоде зависит от:
Я

Да, что дальше? Как в песне - «Билли встал, и пошёл»? Почему бы и нет? Сустав-то искусственный, он не болит. А выясняется, что и болит, и вообще всё непросто, и темпы реабилитации у всех разные, и боль разная, и отек, температура, движения - всё разное. Почему?

И вот тут начинается самое интересное. Многие люди искренне уверены, что всё, вообще всё в послеоперационном периоде зависит от:

  • мастерства хирурга
  • вида эндопротеза
  • участия робота в операции
  • размера разреза
  • страны/клиники
  • реабилитологов
  • наличия оборудования
  • и т.п.

Я занимаюсь эндопротезированием суставов уже почти 30 лет, учился у первых. Тысячи пациентов - сначала моих учителей, потом моих личных. Огромное разнообразие вариантов течения послеоперационного периода, и в части состояния оперированной конечности, и выраженности болевого синдрома, и заживления раны, и темпов и результатов восстановления, да и с терапевтической частью сильно все не одинаково.

В итоге мы имеем очень разные результаты и очень разные сроки.

Конечно, есть основная группа, в которой всё примерно одинаково по большинству критериев - заживлению, активизации, осложнениям. Есть другие группы - с более быстрым и простым течением, и, наоборот - со сложным, медленным, не сильно радующим и пациента, и хирурга развитием событий.

Так в чем же дело? Один хирург, одна клиника, один реабилитационный протокол, одни типы эндопротезов, одна терапевтическая поддержка и т.п., а такой разброс.

Когда я говорю о разбросе в плане реабилитации, то имею ввиду следующее:

  • первичная реабилитация (встать на ноги, научиться ходить, подниматься и спускаться по лестнице) - неделя после операции
  • вторичная реабилитация (ходьба без дополнительной опоры, хромота, движения в оперированном суставе) - 1,5-3 месяца после операции

Так вот если на этапе первичной реабилитации всё идет не гладко, то практически всегда и вторичное восстановление будет замедленным.

Есть у меня примеры, когда бабушки под 80 лет очень шустро начинали бегать на 2-3 день после операции, а есть - когда крепыши мужского пола и среднего возраста те же 2-3 дня с кровати не вставали. И ведь не потому, что я по-разному оперировал, или принципиально разные были суставы. Более того, у людей пожилого возраста и болезнь длилась дольше, и состояние опорно-двигательного аппарата более запущенное. Казалось бы, всё очевидно, заранее можно предположить, у кого и как всё пойдёт? А вот и нет.

Самый свежий пример. Пациентке 85 лет. Двусторонний гонартроз (артроз коленных суставов), выраженная О-образная деформация ног.

-2

Боль в коленях мешает…. работать. Да-да. Дама продолжает работать - преподавать, да еще и собственной фирмой руководит! Всё не было времени на себя, но боль - дело такое, ни строить, ни жить не позволяет.

-3

На консультации договорились, что меняем один сустав, и, как только терапевтические показатели приходят в норму - второй. При таких деформациях мы выпрямляем и удлиняем ногу, и, если вторая долгое время остается деформированной, это негативно сказывается на оперированной. Поскольку здесь был довольно сложных подготовительный этап, я был уверен, что перерыв будет месяца три.

Итак, первая операция в начале февраля. Реабилитация с первого дня, сразу же ходьба, активное сгибание - всё в максимально штатном режиме. По терапии в том числе. Минимальное количество жалоб. Максимально позитивный настрой. Выписка через неделю.

Опуская детали, вторая госпитализация ровно через месяц. В этот четверг вторая операция:

-4

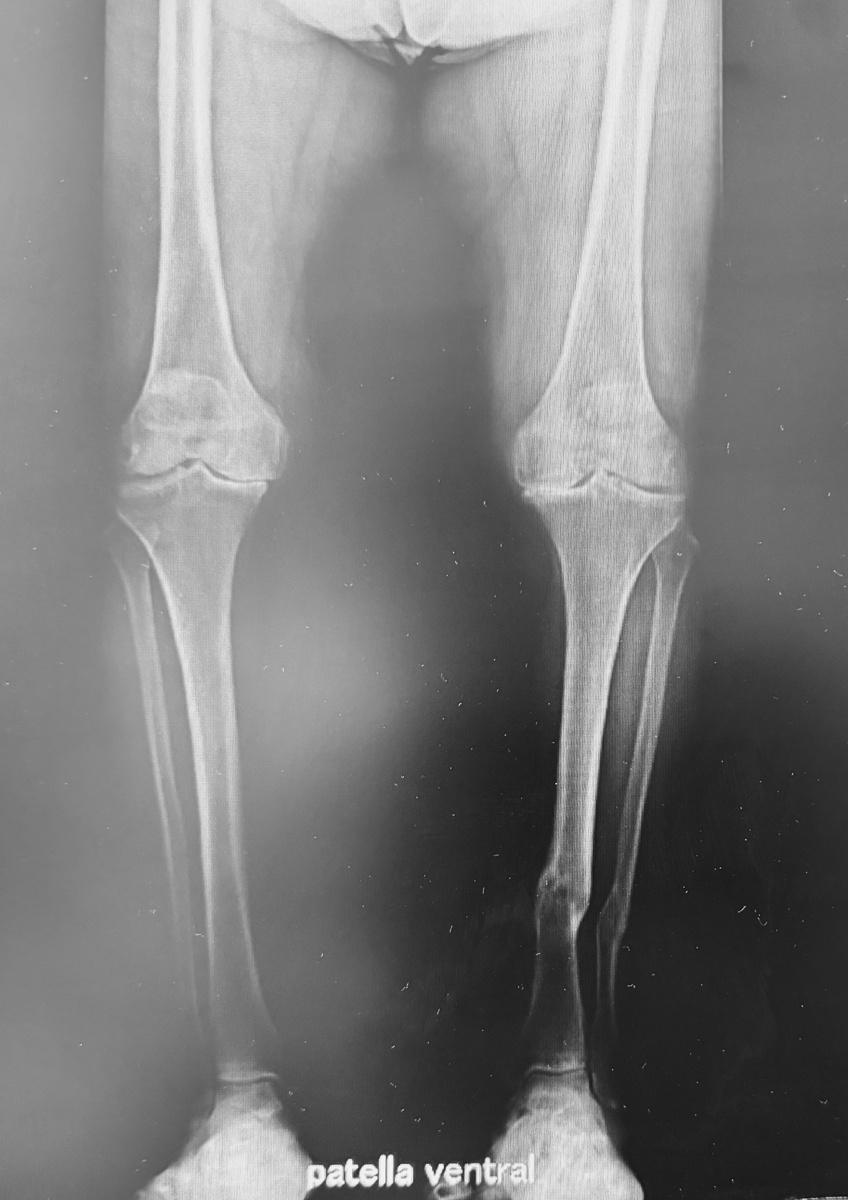
Было-стало:

-5

Кстати, слева еще сросшийся довольно свежий перелом костей голени:

-6

Что вы думаете? Отчёт реабилитолога в пятницу (операция в четверг):

-7

И скрин с видео:

-8

Вот такие дела.

Какой вывод я делаю, исходя строго из личного опыта:

  1. Индивидуальные характерологические особенности человека - важнейшее звено в процессе лечения
  2. Всё остальное - вторично.

Если дело идёт медленно, через пень-колоду, почти всегда дело в конкретном человеке, его индивидуальных особенностях. Разумеется, если вдруг плохо/неправильно что-то сделано, это влияет на всё, но при прочих равных условиях роли личности всё же превалирует. Подумайте об этом, если планируете операции. Кстати, конкретно эта пациентка на следующую зиму уже запланировала себе операции на стопах!!