Найти в Дзене
Два Дантиста

Что является залогом долгосрочного здоровья полости рта?

Комплексное лечение зубов!

Которое по данному кейсу проходил пациент клиники «Два Дантиста» в течении 2 лет и 11 месяцев.

-2

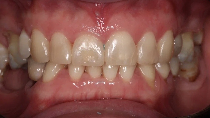
До начала лечения диагностика полости рта показала, что для восстановления необходимо участие нескольких врачей-стоматологов: терапевта, пародонтолога, ортодонта, хирурга, ортопеда. Такой всесторонний подход обеспечивает решение всех проблем со здоровьем полости рта.

  • Стоматолог-терапевт, эндодонтист Сорока Андрей Вячеславович удалил кариозные поражения;
  • Карапчеева Елена Александровна, стоматолог-пародонтолог, гигиенист, провела лечение десен;
  • Стоматолог-хирург, имплантолог Егиазарян Рафаэль Араикович установил имплантаты в места отсутствующих зубов;
-3

-4

Основными преимуществами комплексного подхода является:

  1. Многопрофильность — объединяет различные виды стоматологических процедур: терапевтические, ортодонтические, протезирование, гигиенические и хирургические работы, что позволяет решить все проблемы одновременно.
  2. Индивидуальный подход — разрабатывается с учетом особенностей каждого пациента, его состояния здоровья и целей лечения.
  3. Планомерность — лечение проводится по четко спланированной программе, что обеспечивает последовательность и эффективность.
  4. Долгосрочный результат — восстановление направлено не только на устранение текущих проблем, но и на профилактику будущих заболеваний.
  5. Командная работа специалистов— в процессе участвуют разные врачи-стоматологи, что обеспечивает комплексное решение всех задач.
  6. Удобство для пациента — все необходимые процедуры можно пройти в одном месте за минимальное количество визитов.
-5

В целом, комплексный подход в стоматологии подразумевает не просто устранение отдельных проблем, а создание здоровой и красивой улыбки, которая будет радовать пациента долгие годы.

Записаться в клинику «Два Дантиста» можно через сайт или по тел. 8 (812) 223-43-29