Найти в Дзене
Ferra.ru

Крики и размахивание руками во сне назвали возможными признаками тяжёлой деменции

Согласно исследованию, опубликованному в научном журнале eBioMedicine, такие формы поведения во сне, как крики, размахивание руками, пинки, могут быть ранними признаками болезни Паркинсона или деменции с тельцами Леви — тяжёлых нейродегенеративных заболеваний, характеризующихся постепенным нарастанием симптоматики и осложнений.

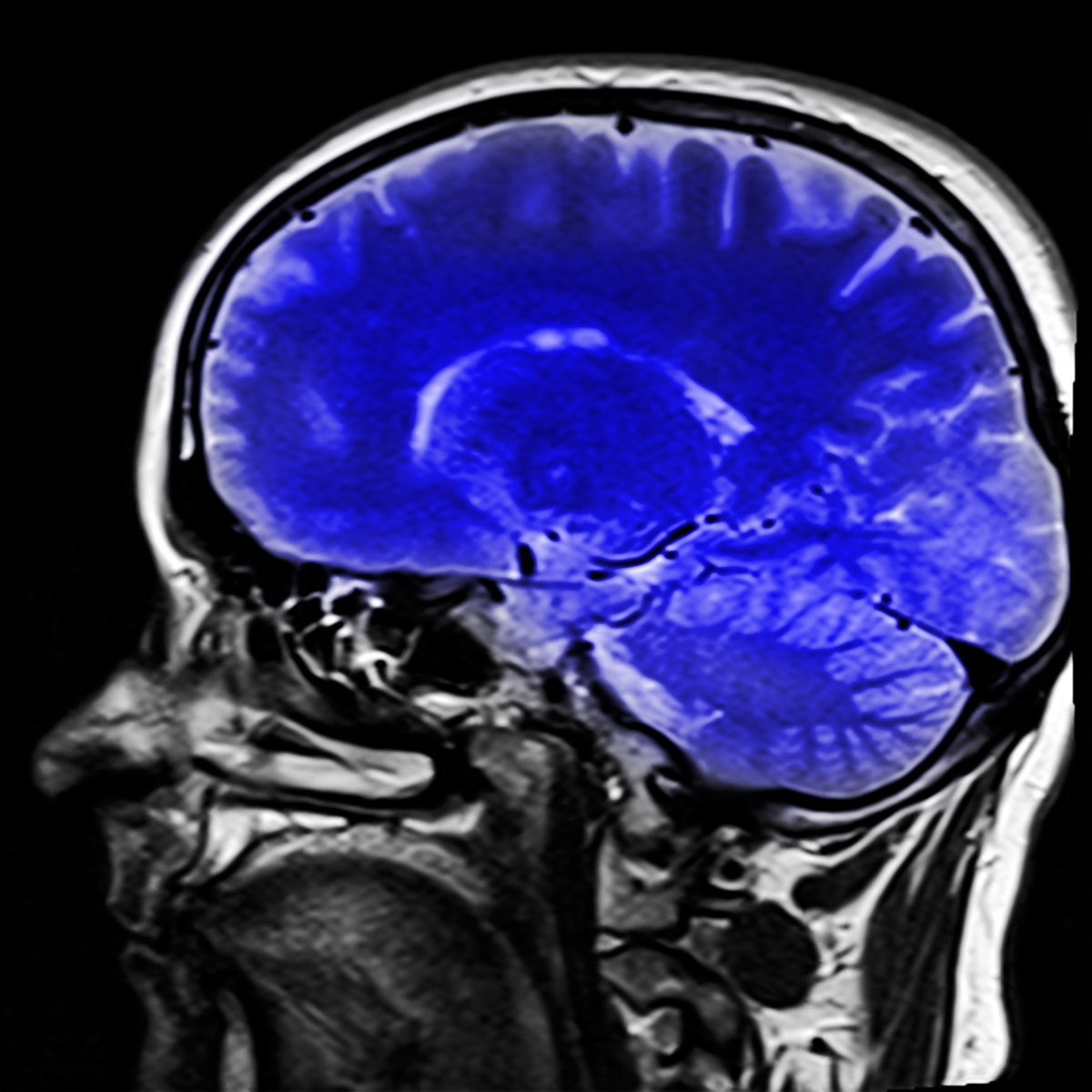
Исследователи изучили более 1200 МРТ-сканов мозга пациентов с расстройством поведения во сне (RBD) и выявили характерные изменения, которые могут предсказать наступление тяжёлых нейродегенеративных заболеваний. У людей с RBD отсутствует обычный паралич мышц во время сна, что приводит к агрессивным движениям или вокализации, вызванным сновидениями.

Такое поведение часто встречается у людей старше 50 лет, причём у 90% из них в конечном итоге диагностируется болезнь Паркинсона или деменция с тельцами Леви. С помощью искусственного интеллекта были выявлены два типа атрофии мозга, что помогло предсказать болезнь на ранних стадиях и, возможно, принять профилактические меры до проявления симптомов. Исследование подчёркивает важность раннего выявления RBD и понимания изменений в мозге для разработки более эффективных стратегий лечения и замедления прогрессирования болезней.

Материалы новостного характера нельзя приравнивать к назначению врача. Перед принятием решения посоветуйтесь со специалистом.