Найти в Дзене
DEXIS Russia

КЛКТ в стоматологии: как правильно интерпретировать снимки

Оглавление

Методическое пособие для врачей, которые хотят «видеть больше».

Конусно-лучевая компьютерная томография (КЛКТ) — сегодня это незаменимый инструмент в современной стоматологии. Именно с его помощью врачи получают детальную 3D-картину, которая позволяет точно ставить диагнозы, планировать лечение и избегать ошибок. Но есть одно «но»: умение правильно визуализировать и интерпретировать эти данные все еще остается вызовом для многих специалистов.

Врач-рентгенолог и стоматолог Александр Потапов знает это не понаслышке. Ежедневно он работает с КЛКТ-снимками, консультирует коллег, преподает, и, главное - хорошо понимает, какие трудности чаще всего возникают у стоматологов при интерпретации 3D-исследований.

«Часто общаясь с врачами-стоматологами, я сталкиваюсь с рядом вопросов об интерпретации 3D-исследований. Большая часть из них решается корректным, грамотным способом визуализации данных на мониторе компьютера», - отмечает Александр Потапов

Именно для того, чтобы врачам уверенно работать с КЛКТ-снимками, он создал методическое пособие, основанное на многолетнем опыте работы с программами OnDemand, Invivo и экосистемой DTX Studio.

Методическое пособие, А. Потапов
Методическое пособие, А. Потапов

О чем методическое пособие?

Пособие называется «Подготовка к визуализации и использованию основных инструментов для просмотра КЛКТ-исследований». Это подробное, структурированное и наглядное руководство по эффективной работе с трехмерными изображениями в стоматологии.

Разобраны ключевые темы:

  • Система координат. Плоскости. Оси. Направления
  • Прицельная визуализация зубов
  • Построение панорамного реформата
  • Визуализация височно-нижнечелюстного сустава
  • Применение суперимпозиции в конусно-лучевой компьютерной томографии
  • Артефакты
  • Трехмерная цефалометрия. Требования к объему

Ознакомиться с фрагментом пособия можно по ссылке.

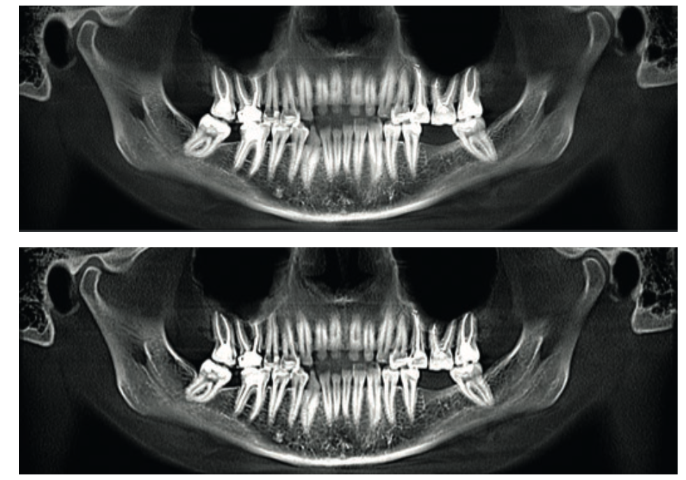
Методическое пособие, А. Потапов, стр. 11 и стр. 13
Методическое пособие, А. Потапов, стр. 11 и стр. 13

Александр Потапов подчеркивает не только технические аспекты работы с программами для КЛКТ, но и их практическую пользу. Его цель - помочь специалистам разных уровней уверенно ориентироваться в 3D-изображениях и принимать клинически обоснованные решения.

«Этот документ адресован широкой публике: стоматологам, рентгенологам, лаборантам КТ-аппаратов, аспирантам и студентам стоматологических факультетов», — подчеркивает Александр Потапов.

Где приобрести?

Если вы хотите лучше разбираться в КЛКТ-снимках, уверенно работать с 3D-изображениями и понимать, как визуализация помогает в принятии клинических решений - это пособие станет отличной опорой в вашей практике.

📘 Оставить заявку на покупку методического пособия можно на официальном сайте DEXIS.com

________________
Информация, представленная в данной статье, основана на мнении Александра Потапова, специалиста в области медицины (врача), работающего с продукцией DEXIS.
Все заявленные мнения и результаты не могут рассматриваться как официальные медицинские рекомендации, не являются медицинскими советами и не заменяют профессиональное медицинское заключение.

Производитель продукции DEXIS, равно как и компания ООО «И Эйч Руссланд», не несет ответственности за любые результаты или последствия, возникшие в результате использования данной информации.
Продукция DEXIS не предназначена для личного, семейного, домашнего использования, в том числе использования не медицинскими специалистами (врачами). Врачи должны руководствоваться собственным профессиональным мнением в случае применения продукции при диагностике и лечении пациентов.