Найти в Дзене
Новости Воронежа

Как в Воронеже прооперировали колено без разрезов и скальпеля

Медики впервые применили новый способ фиксации костей при сложном переломе — результат уже есть

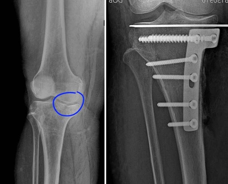
56-летнюю женщину доставили в городскую больницу №2 Воронежа с резкой болью в колене — она упала с лестницы. Обследование показало редкий и тяжёлый перелом: медиальный мыщелок большеберцовой кости был раздроблен, отломки сместились, в суставе — кровоизлияние.

Врачи приняли решение использовать в работе технологию, которую ранее в больнице не применяли. Вместо традиционного хирургического вмешательства они провели остеосинтез под контролем артроскопии — специальной камеры, вводимой в полость сустава через небольшой прокол.

Ход операции контролировался на экране. Без вскрытия сустава отломки сопоставили, зафиксировали спицей, а затем — титановой платиной и винтами. Всё — через минимальный доступ.

Такая методика позволяет сохранить ткани, снизить риск осложнений и сократить срок восстановления. Пациентка уже проходит лечение в стационаре, её состояние стабильное, прогноз — благоприятный.

Современная медицина становится всё точнее и деликатнее. А вы бы решились на операцию без скальпеля?