Найти в Дзене
Войти
Radiology Hub
16 подписчиков
Подписаться
Анатомия грудной клетки в боковой проекции на рентгенограмме
17 января
17 янв
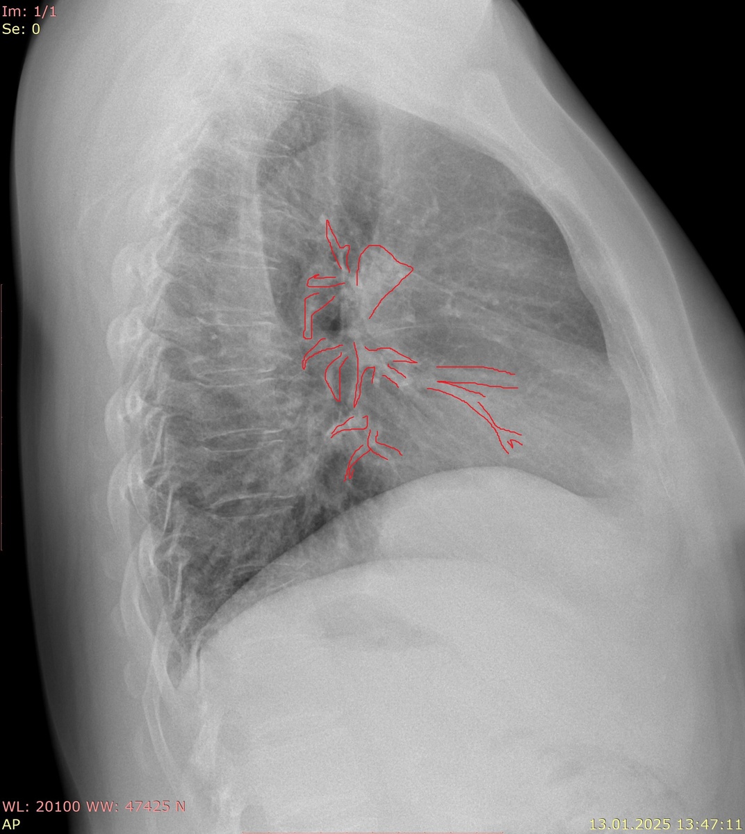
Сосуды легочной артерии.
Сосуды легочной артерии.
Легочные поля (зеленый - позвоночник) и сердце
Легочные поля (зеленый - позвоночник) и сердце
Синим - воздушный столб трахеи, красным - ворота легкого
Синим - воздушный столб трахеи, красным - ворота легкого