Найти в Дзене
Белка в позе

Дежурство с 27.12 на 28.12

Здравствуйте🤝

Больница продолжалась наполняться пациентами, именно госпитализированными, амбулаторных было мало.

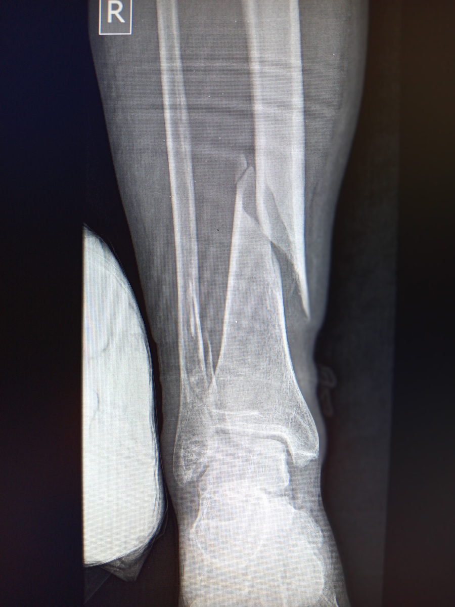
Завезли каталку. Женщина , в красивом платье лежит, плачет.

Явно угадывается перелом голеностопа.

–За что мне такое на новый год? –плачет пациентка. –Я в жизни никому плохого не пожелала.

–Ну , зачем вы так? Может, убереглись от чего, –утешаем женщину.

Я в каких -то вещах становлюсь фаталистом даже

–Не думали в таком ключе?

–Нет, –всхлипывает уже спокойнее.

*************************

Считается , что рентгенолаборант с биосредами не работает, но это только на бумаге. Все виды биосред пациентов присутствуют в нашей работе.

Привезли , значит , каталку, переводная пациентка с ЦБ. Снять , как обычно кости таза и ОГК.

Прошу бабулю приподняться , чтобы подложить кассету и тут ее начинает мутить.Еле успеваю подложить ей пакет .

И делает баба свое дела в пакет, а я почти тоже самое , убежав в дальний угол бывшей проявочной, искренне недоумевая , на кой ляд мне это все сдалось и когда все это кончится.

Продышалась наконец-то баба.

–Вы не могли в приемнике сказать , что вас тошнит что ли? –с досадой говорю. –В нашем кабинете так-то не принято вот это.

–Да меня не мутило до этого.

Ну , наверное , на меня реакция такая. Бурча под нос о своей тяжёлой и неприемлемой работе, продолжаю делать ее.

–А вообще , к вам только здоровым нужно попадать, –не устает возмущаться пациентка, пыхтя и выполняя мои требования. –Это ж уму непостижимо заставлять больного, старого человека кульбиты выполнять!

–Так вам же не 90, да и паралича я не наблюдаю, поэтому и прошу принимать максимальное участие!

–Учааастие, –передразнивает меня пациентка, –кто на что учился , знаешь ли!

А вот это золотые слова! Сидела б сейчас в кабинетике при правительстве, или в бизнес подалась,а не вот это вот все. Ничего-ничего, скоро совсем некому будет работать , и кульбиты даже со всеми переломанными костями начнете выполнять прямо с порога.

Ну и вредная попалась пациентка. Сняла , выкатила.

***************************

Что-то тихо, решаю выглянуть.

–Девушка, а мне на рентген, –протягивает мне направление пациент.

И тут моя челюсть падает. Ирхов! Наш постоянный пациент , которого в трезвом состоянии и в твердой походке не видел вообще никто и никогда в нашей больнице.Его ,бывает ,привозит скорая по нескольку раз за сутки, ибо дюже наш народ сердоболен становится , заметив лежащего на земле очередного алкаша.

–Господи! Ирхов! Что с тобой?? –подобрав мандибулю заголосила я. –Ты трезв?? Стоишь на ногах и разговариваешь!!??? Не иначе , цунами надвигается!!Девчонки, вы видели Ирхова хоть раз на ногах? –Зову коллег увидеть невероятное.

Коллеги , побросав все дела , поспешили убедиться , что меня не накрыло.

–Ну , что уж вы так, –смущенно улыбается постоянник.

Да ничего так-то , просто не подозревали его в суперспособностях быть на ногах , трезвым и даже разговаривающим внятно. От оно как оказывается.

Где-то палец повредил, но кость цела.

–Давай, Сашок, в том же духе продолжай!

***************************

Уже ближе к ночи завезли каталку. Очень нетрезвый пациент , для которого возвращение с корпоратива закончилось падением на льду и переломом конечности.

–А где я? –нетрезвым голосом вопрошает пациент.

–В больнице! На рентгене!

–А зачем я тут? Надо было забинтовать и выкинуть! –не успокаивается он.

Наверное, надо, но раз уж привезли , то будем помощь оказывать по стандарту.

Такое не перебинтуешь
Такое не перебинтуешь

Сняла , выкатила . Переработанным винищем пахнет на весь кабинет. Пришлось проветривать, в таких ароматах работать невозможно, маска не спасает.

Пришлось дверь открыть , чтобы протянуло воздухом.

***********************

–Можно к вам? –маячит в дверях фигура.

Конечно , можно, выхожу взять направление.Батюшки! Сам Олег Монгол в нелучшие годы к нам пожаловал?

Лица –нет , вернее есть , но все заплывшее от гематом.

–Проходи, проходи , вот сюда садись! –засуетилась я . –Кто ж тебя так?За что?

–Жена-а-а, –плаксиво поясняет он, –а я вот трезвый!

Не знаю , конечно , что ж такого вытворил муж, чтобы быть так жестоко наказанным, но , женщина явно переборщила.

–А еще она меня вот порезала, –снимает футболку пациент и демонстрирует длиннющий свежий шрам.

–Ну так это ж не сегодня , порез зашит уже.

–Это неделю назад, –кивает пациент.

Нда, нескучная жизнь у людей.

*************************

Звонок в дверь. Открываю. Женщина пришла на снимок стопы.Немного нетрезва, но не критично

–Разувайтесь -проходите-ложитесь на стол ногами к двери.

–А можно я прям здесь спать лягу, так удобно!

–Конечно, можно, только не удивляйтесь , если проснетесь, а рядом с вами кто-то лежит)

Ага, второй палец фиолетово -красный.

–Что случилось с вами?

–Честно?

–Да как хотите.

–Мужа по лицу пнула.

👀Бабоньки , вы чегоу???Эмансипация эмансипацией , но и меру знать нужно.

–За что ?

–А за то , что денег не дал на новый год! Маманьке своей отдал, ну , и получил!

Он-то , конечно, получил , но и карма не заставила себя ждать!

-3

Хоть и крошечный перелом, но даже он очень болезненный , особенно первое время.

*************************

Наконец-то и меня сменили. Новый год все ближе и ближе.

31 -го мое дежурство , которое , как всегда будет незабываемое!

Всех с наступающим! Берегите себя!