Найти в Дзене

Что такое рентген?


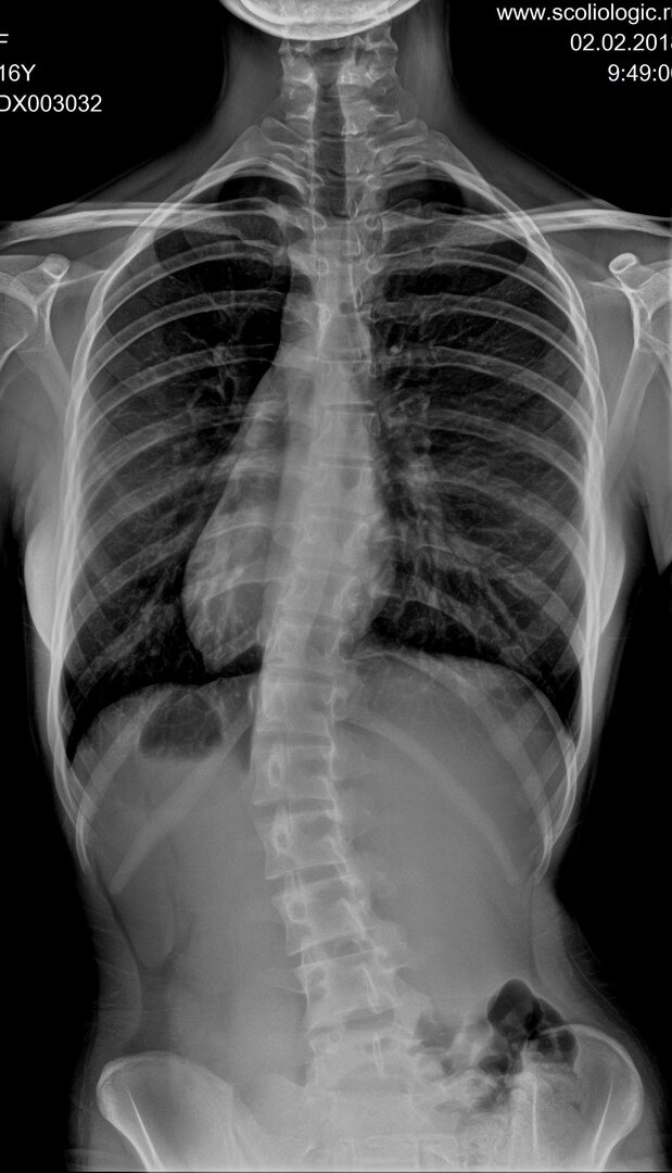
Точный диагноз при сколиозе можно поставить только по рентгену.

Рентгеновские лучи относятся к особому виду электромагнитных колебаний, которые создаются в трубке рентгеновского аппарата во время внезапной остановки электронов.
Рентген обладает огромной проникающей способностью. Рентгеновские лучи успешно проходят сквозь различные ткани человеческого организма.

Фотохимическое воздействие ионизирующих лучей позволяет создавать информативные, с диагностической точки зрения, снимки. При прохождении сквозь человеческое тело рентгеновские лучи проецируются на пленке. На снимках лучше всего видны кости – ярко-белого цвета. Это связано с тем, что кальций больше всего поглощает рентгеновские лучи.

Излучение при одном рентгеновском снимке равно излучению, которое человек получает при полете на самолете. Вреда от 3-4х рентгеновских снимков в год не будет.

На МРТ не увидеть многих деталей, которые видны на рентгеновском снимке, т.к. принцип работы МРТ совершенно другой. Кажется, края позвонка четче, а на самом деле они не соответствуют действительности, не видно ротации и т.д.

Рентген - первое, что нужно сделать, услышав диагноз "сколиоз".

-2