Найти в Дзене
Мама-доктор

Из-за ошибки врача пациентку могли отправить на ненужное вмешательство на щитовидной железе

Не так давно в клинике, где я работаю, руководство попросило меня выполнить заново УЗИ щитовидной железы, которое в тот же день ранее провел ей другой врач.

Оказалось, что после УЗИ женщина отправилась к эндокринологу, который усомнился в достоверности заключения. Вопрос возник относительно размера крупного узла щитовидной железы.

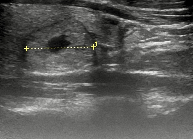
В заключении доктора УЗИ был указан размер узла 5 см, а объём доли, в которой его обнаружили, был не увеличен. Пальпаторно эндокринолог также не прощупывала крупные узлы.

Принципиальность оценки размера в этом случае была обусловлена еще тем, что узлы, достигающие 5 см и более, даже при доброкачественной природе требуют хирургического вмешательства.

Узел щитовидной железы
Узел щитовидной железы

Я ознакомилась с заключением коллеги, оно оказалось вполне грамотным, с указанием категории по классификации TI-RADS. Единственное, что характеристики узлов я описываю более детально.

Я выполнила новое УЗИ щитовидной железы пациентке. Размер узла действительно оказался меньше на 2см; он был около 3см. При таком размере в случае отсутствия злокачественных клеток в биоптате рекомендуется лишь динамическое наблюдение.

Женщина осталась довольна новым заключением. На мой взгляд, коллега просто ошибся в указании размера. К сожалению, мы все можем ошибиться.

И задача врача-диагноста, минимизировать процент таких ошибок. Ведь от этого зависит тактика лечения наших пациентов.

Берегите себя! Понравилась статья- ставьте лайк и подписывайтесь на мой канал!