Найти в Дзене

ЭЛАЙНЕРЫ, что это и для чего? Часть 1 ознакомительная

Данная статья будет полезна:
1. Если ты интересуешься, что такое элайнеры?
2. Если ты носишь брекеты.
3. Если ты хочешь шикарную улыбку и правильный прикус бонусом.

Данная статья будет полезна:

1. Если ты интересуешься, что такое элайнеры?

2. Если ты носишь брекеты.

3. Если ты хочешь шикарную улыбку и правильный прикус бонусом.

4. Следишь за своим здоровьем.

-

Элайнеры, что это?

Это несколько капп, которые помогают нам выравнивать Ваши зубы.

-

Как они выглядят в полости рта?

Это самый эстетичный способ выравнивания зубов из всех существующих.

1. Каппа прозрачная.

2. Она повторяет рельеф Ваших зубов.

Да, их не замечают.

И вместе с этим сказать, что их не видно, будет неправильно, их всё же видно.

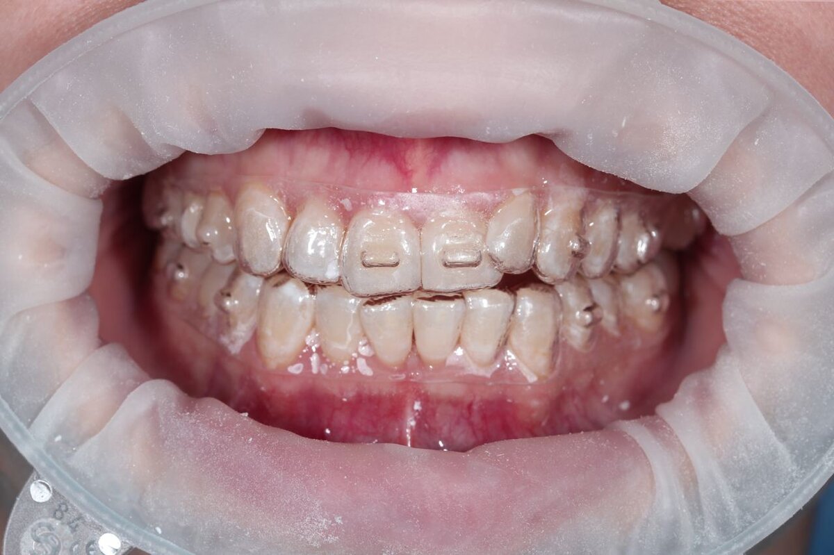
Улыбка с элайнерами. Начало лечения. Выпуклая часть на зубах - аттачменты.
Улыбка с элайнерами. Начало лечения. Выпуклая часть на зубах - аттачменты.
Как выглядят элайнеры, если отодвинуть щеки? Так 🔼
Как выглядят элайнеры, если отодвинуть щеки? Так 🔼

Как они работают?

Создание элайнеров это целый процесс, над которыми работают высококвалифицированные специалисты.

При создании элайнеров используются последние и самые высокоточные ортодонтические технологии.

-

В основе: прогнозирование. Создание коридора перемещения для зубов при помощи капп.

А именно, с одной стороны, каппа давит на зуб, с другой имеет место (пустоту) куда зуб будет перемещаться.

А еще в этом не простом процессе, нам помогают аттачметы (дополнительные элементы, которые временно фиксируются на зубах, не принося им вреда)

-

Хочу заметить и ПРЕДУПРЕДИТЬ:

Слишком сильное давление приводит к разрушению зуба.

Поэтому ни в коем случае нельзя перепрыгивать через этапы лечения.

-

Это не ускорит лечение, а только может привести к непоправимым изменениям в структуре ваших зубов. А именно, к разрушению.

Поэтому в каппу уже вкладывается информация силы. С какой силой мы можем воздействовать на зуб для его перемещения, а не разрушения.

-

Каждая каппа имеет в себе информацию по малому перемещению, как по шагам.

Поэтому каппы надо менять. 1 каппа = 1 шаг по перемещению зуба.

-

Чаще всего лечение на элайнерах занимает от 36 до 48 этапов, да ты всё правильно понимаешь, от 36 до 48 капп у тебя будет как у пациента при выборе элайнеров.

-

Все зависит от сложности случая. От масштаба перемещений. Иногда достаточно 5 этапов, иногда более 50.

-

Конец первой части, пиши вопросы в комментариях и ожидай вторую.

-

P.S. Хочешь голливудскую улыбку? Люби и элайнеры носить.